| UNIPROT | P00403 |
Anti-MT-CO2 Antibody (R1H16) (RHB85702)
Реактивность подтвержденная:
человек
Источник (хозяин):
кролик
Валидировано для:
FCM
IF
IHC
IP
WB
Характеристики
Техническое описание
| Русское название | RHB85702 Моноклональное антитело к MT-CO2 (R1H16) <AntibodySystem,Китай> |
| Каталожный номер | RHB85702 |
| Название антигена | Cytochrome C Oxidase Subunit II (COX2) |
| UNIPROT | P00403 |
| Английские синонимы | MTCO2, MT-CO2, COII, COXII, Mitochondrially Encoded Cytochrome C Oxidase II, Cytochrome c oxidase polypeptide II, COX-2 |
Реактивность подтвержденная Нужна другая реактивность? |
человек |
| Источник (хозяин) | кролик |
| Изотип | IgG |
| Клональность | моноклональное |
| Клон | R1H16 |
| Рекомбинантное | да |
| Готовое к использованию | нет |
| Концентрация | 1 мг/мл |
| Конъюгат | нет |
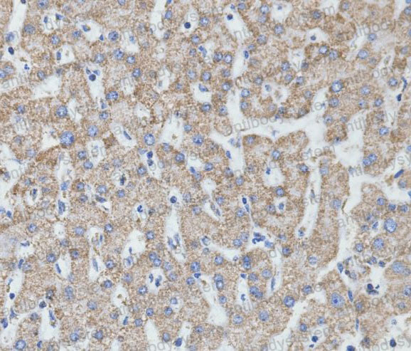
| Валидировано для | FCM IF IHC IP WB Проточная цитометрия; Иммунофлуоресценция; Иммуногистохимия; Иммунопреципитация; Вестерн-блоттинг |
| Рекомендуемые разведения | FCM: 1:20-1:100, IF: 1:50-1:200, IHC: 1:100-1:200, IP: 1:20-1:50, WB: 1:1000-1:2000 |
| Метод очистки | Очистка с белками A/G из супернатанта клеточной культуры |
| Чистота | >95% |
| Состав буфера | 0.01M PBS, pH 7.4, 0.05% БСА, 50% глицерин, 0.05% азид натрия |
| Условия доставки | термобокс с аккумуляторами холода |
| Условия хранения | Хранить при -20 С -12 месяцев |
| Срок хранения | 12 месяцев |
| Производитель | AntibodySystem |
| Ссылка на страницу товара на сайте производителя | https://www.antibodysystem.com/product/30362.html |
|
Артикул
|
Наименование |
Производитель
|
|---|
|
Артикул
|
Наименование |
Производитель
|
|---|
|
Артикул
|
Наименование |
Производитель
|
|---|
|
Артикул
|
Наименование |
Производитель
|
|---|
|
Артикул
|
Наименование |
Производитель
|
|---|
Акции и предложения
Популярные продукты:
Rat Prolactin-releasing peptide ELISA kit (E02P1120)
Организм: крыса
Rabbit Collagen Type XI Alpha 1 ELISA kit (E04C0342)
Организм: кролик
Sheep Granulocyte Chemotactic Protein 2 ELISA kit (E14G0109)
Организм: овца
Goat Granulocyte Chemotactic Protein 2 ELISA kit (E06G0109)
Организм: коза
Anti-Human PAC-1 Antibody (PAC-1), PerCP (FHC33334)
Источник (хозяин): мышь
Реактивность подтвержденная: человек
Валидировано для: FCM
Реактивность подтвержденная: человек
Валидировано для: FCM

