| UNIPROT | Q86UE4 |
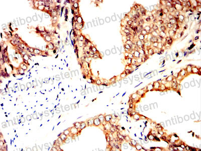
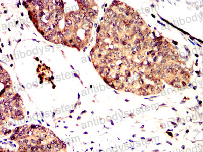
Anti-MTDH Antibody (R4A59) (RHN88903)
Реактивность подтвержденная:
человек, обезьяна
Источник (хозяин):
мышь
Валидировано для:
ELISA
FCM
IF
IHC
WB
Характеристики
Техническое описание
| Русское название | RHN88903 Моноклональное антитело к MTDH (R4A59) <AntibodySystem,Китай> |
| Каталожный номер | RHN88903 |
| Название антигена | Metadherin (MTDH) |
| UNIPROT | Q86UE4 |
| Английские синонимы | 3D3, AEG1, LYRIC, Astrocyte elevated gene-1 protein, Lysine-rich CEACAM1 co-isolated protein, Metastasis adhesion protein |
Реактивность подтвержденная Нужна другая реактивность? |
человек, обезьяна |
| Источник (хозяин) | мышь |
| Изотип | IgG1 |
| Клональность | моноклональное |
| Клон | R4A59 |
| Рекомбинантное | да |
| Готовое к использованию | нет |
| Концентрация | 1 мг/мл |
| Конъюгат | нет |
| Валидировано для | ELISA FCM IF IHC WB Иммуноферментный анализ; Проточная цитометрия; Иммунофлуоресценция; Иммуногистохимия; Вестерн-блоттинг |
| Рекомендуемые разведения | ELISA: 1:10000, FCM: 1:200-1:400, IF: 1:50-1:200, IHC: 1:200-1:1000, WB: 1:500-1:2000 |
| Метод очистки | Очистка с белками A/G из супернатанта клеточной культуры |
| Чистота | >95% |
| Состав буфера | 0.01M PBS, pH 7.4, 0.05% натрия азид |
| Условия хранения | Хранить при 4°C не более 1-2 недель. Хранить при -20°C - 12 месяцев |
| Срок хранения | 12 месяцев |
| Производитель | AntibodySystem |
| Ссылка на страницу товара на сайте производителя | https://www.antibodysystem.com/product/37116.html |
|
Артикул
|
Наименование |
Производитель
|
|---|
|
Артикул
|
Наименование |
Производитель
|
|---|
|
Артикул
|
Наименование |
Производитель
|
|---|
|
Артикул
|
Наименование |
Производитель
|
|---|
Акции и предложения
Популярные продукты:
Guinea Pig Melanocortin receptor 5(MC5R) ELISA kit (E05M0387)
Организм: морская свинка
Anti-MTDH Antibody (R4A59) (RHN88903)
Источник (хозяин): мышь
Реактивность подтвержденная: человек, обезьяна
Валидировано для: ELISA, FCM, IF, IHC, WB
Реактивность подтвержденная: человек, обезьяна
Валидировано для: ELISA, FCM, IF, IHC, WB
Anti-PFKP Antibody (R2B99) (RHF89301)
Источник (хозяин): кролик
Реактивность подтвержденная: человек, мышь, крыса
Валидировано для: IF, IP, WB
Реактивность подтвержденная: человек, мышь, крыса
Валидировано для: IF, IP, WB
Anti-MRRF Antibody (R1A43) (RHN59501)
Источник (хозяин): кролик
Реактивность подтвержденная: человек, мышь
Валидировано для: IHC, WB
Реактивность подтвержденная: человек, мышь
Валидировано для: IHC, WB
Anti-WASL Antibody (R1C85) (RHA10502)
Источник (хозяин): кролик
Реактивность подтвержденная: человек, мышь
Валидировано для: FCM, IF, IHC, WB
Реактивность подтвержденная: человек, мышь
Валидировано для: FCM, IF, IHC, WB
Anti-EXOG Antibody (R2N22) (RHK89702)
Источник (хозяин): кролик
Реактивность подтвержденная: человек
Валидировано для: IP, WB
Реактивность подтвержденная: человек
Валидировано для: IP, WB

