| UNIPROT | Q8WXI7 |
Anti-MUC16/CA125 Antibody (R3V53) (RHJ31004)
Реактивность подтвержденная:
человек
Источник (хозяин):
мышь
Валидировано для:
ELISA
FCM
IHC
Характеристики
Техническое описание
| Русское название | RHJ31004 Моноклональное антитело к MUC16/CA125 (R3V53) <AntibodySystem,Китай> |
| Каталожный номер | RHJ31004 |
| Название антигена | Carbohydrate Antigen 125 (CA125) |
| UNIPROT | Q8WXI7 |
| Английские синонимы | MUC16, Cancer Antigen 125, Mucin 16,Cell Surface Associated, Ovarian Cancer-Related Tumor Marker CA125, Ovarian Carcinoma Antigen CA125, CA-125 |
| Русские синонимы | СА125, СА-125 |
Реактивность подтвержденная Нужна другая реактивность? |
человек |
| Источник (хозяин) | мышь |
| Изотип | IgG1 |
| Клональность | моноклональное |
| Клон | R3V53 |
| Рекомбинантное | да |
| Готовое к использованию | нет |
| Концентрация | 1 мг/мл |
| Конъюгат | нет |
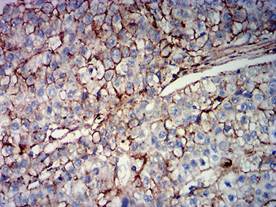
| Валидировано для | ELISA FCM IHC Иммуноферментный анализ; Проточная цитометрия; Иммуногистохимия |
| Рекомендуемые разведения | ELISA: 1:10000, FCM: 1:200-1:400, IHC: 1:200-1:1000 |
| Метод очистки | Очистка с белками A/G из супернатанта клеточной культуры |
| Чистота | >95% |
| Состав буфера | 0.01M PBS, pH 7.4, 0.05% натрия азид |
| Условия хранения | Хранить при 4°C не более 1-2 недель. Хранить при -20°C - 12 месяцев |
| Срок хранения | 12 месяцев |
| Производитель | AntibodySystem |
| Ссылка на страницу товара на сайте производителя | https://www.antibodysystem.com/product/36615.html |
|
Артикул
|
Наименование |
Производитель
|
|---|
|
Артикул
|
Наименование |
Производитель
|
|---|
|
Артикул
|
Наименование |
Производитель
|
|---|
Акции и предложения
Популярные продукты:
Chicken Dynamin 1 Like Protein ELISA kit (E12D0450)
Организм: курица
Canine Dynamin 1 Like Protein ELISA kit (E08D0450)
Организм: собака
Rat Dynamin 1 Like Protein ELISA kit (E02D0450)
Организм: крыса
Диапазон определения: 25 нг/мл
Диапазон определения: 25 нг/мл
Rat Palmdelphin ELISA kit (E02P0827)
Организм: крыса
Rabbit Dihydropyrimidinase-related protein 4 ELISA kit (E04D0318)
Организм: кролик

