| UNIPROT | P98088 |
Anti-MUC5AC Antibody (R3Q05) (RHF78601)
Реактивность подтвержденная:
человек
Источник (хозяин):
мышь
Валидировано для:
ELISA
IHC
Характеристики
Техническое описание
| Русское название | RHF78601 Моноклональное антитело к MUC5AC (R3Q05) <AntibodySystem,Китай> |
| Каталожный номер | RHF78601 |
| Название антигена | Mucin 5 Subtype AC (MUC5AC) |
| UNIPROT | P98088 |
| Английские синонимы | TBM, MUC5, LeB, Oligomeric Mucus/Gel-Forming, Mucin 5,Subtypes A And C,Tracheobronchial/Gastric, Gastric mucin, Lewis B blood group antigen, Major airway glycoprotein |
Реактивность подтвержденная Нужна другая реактивность? |
человек |
| Источник (хозяин) | мышь |
| Изотип | IgG2a |
| Клональность | моноклональное |
| Клон | R3Q05 |
| Рекомбинантное | да |
| Готовое к использованию | нет |
| Концентрация | 1 мг/мл |
| Конъюгат | нет |
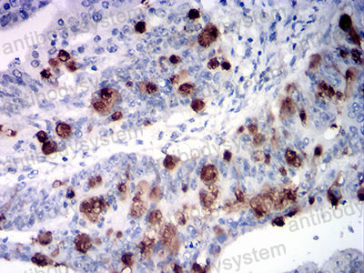
| Валидировано для | ELISA IHC Иммуноферментный анализ; Иммуногистохимия |
| Рекомендуемые разведения | ELISA: 1:10000, IHC: 1:200-1:1000 |
| Метод очистки | Очистка с белками A/G из супернатанта клеточной культуры |
| Чистота | >95% |
| Состав буфера | 0.01M PBS, pH 7.4, 0.05% натрия азид |
| Условия хранения | Хранить при 4°C не более 1-2 недель. Хранить при -20°C - 12 месяцев |
| Срок хранения | 12 месяцев |
| Производитель | AntibodySystem |
| Ссылка на страницу товара на сайте производителя | https://www.antibodysystem.com/product/36073.html |
|
Артикул
|
Наименование |
Производитель
|
|---|
|
Артикул
|
Наименование |
Производитель
|
|---|
|
Артикул
|
Наименование |
Производитель
|
|---|
|
Артикул
|
Наименование |
Производитель
|
|---|
|
Артикул
|
Наименование |
Производитель
|
|---|
|
Артикул
|
Наименование |
Производитель
|
|---|
Акции и предложения
Популярные продукты:
MANS1 Mouse Monoclonal Antibody (BF9614)
Источник (хозяин): мышь
Реактивность подтвержденная: человек
Валидировано для: WB
Реактивность подтвержденная: человек
Валидировано для: WB
XRCC1 Mouse Monoclonal Antibody (BF8971)
Источник (хозяин): мышь
Реактивность подтвержденная: человек, мышь, крыса
Валидировано для: WB
Реактивность подтвержденная: человек, мышь, крыса
Валидировано для: WB
XRCC1 Mouse Monoclonal Antibody (BF8324)
Источник (хозяин): мышь
Реактивность подтвержденная: человек, мышь, крыса
Валидировано для: WB
Реактивность подтвержденная: человек, мышь, крыса
Валидировано для: WB
IL29 Mouse Monoclonal Antibody (BF8476)
Источник (хозяин): мышь
Реактивность подтвержденная: человек
Валидировано для: WB
Реактивность подтвержденная: человек
Валидировано для: WB
Sheep Interleukin-1 receptor 8 ELISA kit (E14I0814)
Организм: овца
Sheep Paired Box Protein Pax-7 ELISA Kit (E14P1242)
Организм: овца

