| UNIPROT | P04198 |
Anti-MYCN Antibody (R2Y63) (RHC07601)
Реактивность подтвержденная:
человек
Источник (хозяин):
мышь
Валидировано для:
ELISA
FCM
IHC
Характеристики
Техническое описание
| Русское название | RHC07601 Моноклональное антитело к MYCN (R2Y63) <AntibodySystem,Китай> |
| Каталожный номер | RHC07601 |
| Название антигена | V-Myc Myelocytomatosis Viral Related Oncogene, Neuroblastoma Derived (MYCN) |
| UNIPROT | P04198 |
| Английские синонимы | NMYC, N-myc, Class E basic helix-loop-helix protein 37, N-myc proto-oncogene protein |
Реактивность подтвержденная Нужна другая реактивность? |
человек |
| Источник (хозяин) | мышь |
| Изотип | IgG1 |
| Клональность | моноклональное |
| Клон | R2Y63 |
| Рекомбинантное | да |
| Готовое к использованию | нет |
| Концентрация | 1 мг/мл |
| Конъюгат | нет |
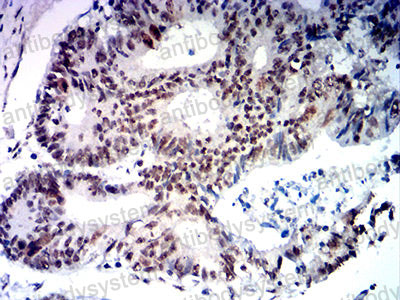
| Валидировано для | ELISA FCM IHC Иммуноферментный анализ; Проточная цитометрия; Иммуногистохимия |
| Рекомендуемые разведения | ELISA: 1:10000, FCM: 1:200-1:400, IHC: 1:200-1:1000 |
| Метод очистки | Очистка с белками A/G из супернатанта клеточной культуры |
| Чистота | >95% |
| Состав буфера | 0.01M PBS, pH 7.4, 0.05% натрия азид |
| Условия доставки | термобокс с аккумуляторами холода |
| Условия хранения | Хранить при 4°C не более 1-2 недель. Хранить при -20°C - 12 месяцев |
| Срок хранения | 12 месяцев |
| Производитель | AntibodySystem |
| Ссылка на страницу товара на сайте производителя | https://www.antibodysystem.com/product/34547.html |
|
Артикул
|
Наименование |
Производитель
|
|---|
|
Артикул
|
Наименование |
Производитель
|
|---|
Акции и предложения
Популярные продукты:
Rat ATP dependent RNA helicase DHX8(DHX8) ELISA kit (E02A1842)
Организм: крыса
Canine F actin capping protein subunit β(CAPZB) ELISA kit (E08F0357)
Организм: собака
Mouse CTD Phosphatase 1 ELISA kit (E03C0049)
Организм: мышь
Rat DNA Methyltransferase 3beta ELISA kit (E02D0322)
Организм: крыса
Bovine Anoctamin 4(ANO4) ELISA kit (E11A1530)
Организм: корова
Chicken Prefoldin subunit 5(PFDN5) ELISA kit (E12P0766)
Организм: курица

