| UNIPROT | O95544 |
Anti-NADK Antibody (R2W35) (RHB68601)
Реактивность подтвержденная:
человек
Источник (хозяин):
мышь
Валидировано для:
IHC
Характеристики
Техническое описание
| Русское название | RHB68601 Моноклональное антитело к NADK (R2W35) <AntibodySystem,Китай> |
| Каталожный номер | RHB68601 |
| Название антигена | NAD Kinase (NADK) |
| UNIPROT | O95544 |
| Английские синонимы | Poly(P)/ATP NAD kinase |
Реактивность подтвержденная Нужна другая реактивность? |
человек |
| Источник (хозяин) | мышь |
| Изотип | IgG2b |
| Клональность | моноклональное |
| Клон | R2W35 |
| Рекомбинантное | да |
| Готовое к использованию | нет |
| Концентрация | 1 мг/мл |
| Конъюгат | нет |
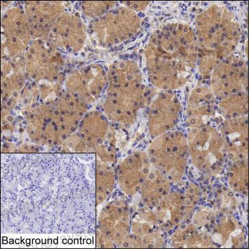
| Валидировано для | IHC Иммуногистохимия |
| Рекомендуемые разведения | IHC: 1:50-1:200 |
| Метод очистки | Очистка с белками A/G из супернатанта клеточной культуры |
| Чистота | >95% |
| Состав буфера | 0.01M PBS, pH 7.4, 0.05% натрия азид |
| Условия доставки | термобокс с аккумуляторами холода |
| Условия хранения | Хранить при 4°C не более 1-2 недель. Хранить при -20°C - 12 месяцев |
| Срок хранения | 12 месяцев |
| Производитель | AntibodySystem |
| Ссылка на страницу товара на сайте производителя | https://www.antibodysystem.com/product/34321.html |
|
Артикул
|
Наименование |
Производитель
|
|---|
|
Артикул
|
Наименование |
Производитель
|
|---|
|
Артикул
|
Наименование |
Производитель
|
|---|
Акции и предложения
Популярные продукты:
YTHDF1 Mouse Monoclonal Antibody (BF8052)
Источник (хозяин): мышь
Реактивность подтвержденная: человек, мышь
Валидировано для: ICC, IF, IHC, WB
Реактивность подтвержденная: человек, мышь
Валидировано для: ICC, IF, IHC, WB
ELISA Kit DIY Materials for Oxyntomodulin (OXM) (KSV381Hu11)
Организм: человек
Диапазон определения: 6.17-500 нг/мл
Чувствительность: 2.09 нг/мл
Диапазон определения: 6.17-500 нг/мл
Чувствительность: 2.09 нг/мл
Rabbit Iduronate sulfatase ELISA kit (E04I0334)
Организм: кролик
Guinea Pig Arachidonate 12 lipoxygenase, 12R type(ALOX12B) ELISA kit (E05A1399)
Организм: морская свинка
Rat sCD14 ELISA kit (E02C0876)
Организм: крыса
Диапазон определения: 5-100 нг/мл
Чувствительность: 1 нг/мл
Диапазон определения: 5-100 нг/мл
Чувствительность: 1 нг/мл
Recombinant Human CD36 Protein(Fc Tag) (PDMH100234)
Источник (хозяин): клетки млекопитающих
Организм: человек
Фрагмент: Gly30-Asn439
Теги: C-Fc
Биоактивность: нет
Организм: человек
Фрагмент: Gly30-Asn439
Теги: C-Fc
Биоактивность: нет

