| UNIPROT | P52272 |
Anti-NAGR1/HNRNPM Antibody (R3M74) (RHE91302)
Реактивность подтвержденная:
человек, мышь, крыса
Источник (хозяин):
мышь
Валидировано для:
ELISA
FCM
IF
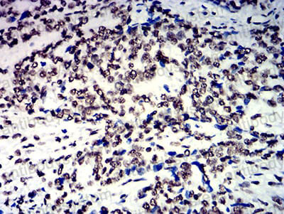
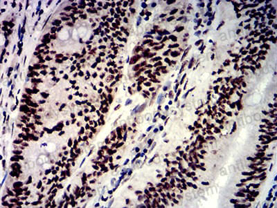
IHC
WB
Характеристики
Техническое описание
| Русское название | RHE91302 Моноклональное антитело к NAGR1/HNRNPM (R3M74) <AntibodySystem,Китай> |
| Каталожный номер | RHE91302 |
| Название антигена | Heterogeneous Nuclear Ribonucleoprotein M (HNRPM) |
| UNIPROT | P52272 |
| Английские синонимы | HNRNPM, NAGR1, hnRNP-M HTGR1, HNRNPM4, HNRPM4 |
Реактивность подтвержденная Нужна другая реактивность? |
человек, мышь, крыса |
| Источник (хозяин) | мышь |
| Изотип | IgG1 |
| Клональность | моноклональное |
| Клон | R3M74 |
| Рекомбинантное | да |
| Готовое к использованию | нет |
| Концентрация | 1 мг/мл |
| Конъюгат | нет |
| Валидировано для | ELISA FCM IF IHC WB Иммуноферментный анализ; Проточная цитометрия; Иммунофлуоресценция; Иммуногистохимия; Вестерн-блоттинг |
| Рекомендуемые разведения | ELISA: 1:10000, FCM: 1:200-1:400, IF: 1:200-1:1000, IHC: 1:200-1:1000, WB: 1:500-1:2000 |
| Метод очистки | Очистка с белками A/G из супернатанта клеточной культуры |
| Чистота | >95% |
| Состав буфера | 0.01M PBS, pH 7.4, 0.05% натрия азид |
| Условия хранения | Хранить при 4°C не более 1-2 недель. Хранить при -20°C - 12 месяцев |
| Срок хранения | 12 месяцев |
| Производитель | AntibodySystem |
| Ссылка на страницу товара на сайте производителя | https://www.antibodysystem.com/product/35845.html |
|
Артикул
|
Наименование |
Производитель
|
|---|
|
Артикул
|
Наименование |
Производитель
|
|---|
Акции и предложения
Популярные продукты:
Anti-Human IL18/IL1F4 Antibody (Fs0368) (RHG70703)
Источник (хозяин): мышь
Реактивность подтвержденная: человек
Валидировано для: BLOCK, ELISA, FCM
Реактивность подтвержденная: человек
Валидировано для: BLOCK, ELISA, FCM
Anti-Betamethasone/BET Monoclonal Antibody (1A484) (MGK61203)
Источник (хозяин): мышь
Реактивность подтвержденная: для всех
Валидировано для: ELISA
Реактивность подтвержденная: для всех
Валидировано для: ELISA
Anti-Cystatin 6 (CST6) Monoclonal Antibody (FAJ326Hu02)
Источник (хозяин): мышь
Реактивность подтвержденная: человек
Валидировано для: FCM
Реактивность подтвержденная: человек
Валидировано для: FCM
Porcine Anti Glycolipid AutoAntibody ELISA kit (E07A0441)
Организм: свинья

