| UNIPROT | O96009 |
Anti-NAPSA Antibody (R2W58) (RHB83301)
Реактивность подтвержденная:
человек, крыса
Источник (хозяин):
мышь
Валидировано для:
ELISA
IHC
WB
Характеристики
Техническое описание
| Русское название | RHB83301 Моноклональное антитело к NAPSA (R2W58) <AntibodySystem,Китай> |
| Каталожный номер | RHB83301 |
| Название антигена | Napsin A Aspartic Peptidase (NAPSA) |
| UNIPROT | O96009 |
| Английские синонимы | KAP, NAP1, ASP4, NAPA, SNAPA, Kdap, Napsin-1, Aspartyl protease 4 |
| Русские синонимы | напсин |
Реактивность подтвержденная Нужна другая реактивность? |
человек, крыса |
| Источник (хозяин) | мышь |
| Изотип | IgG1 |
| Клональность | моноклональное |
| Клон | R2W58 |
| Рекомбинантное | да |
| Готовое к использованию | нет |
| Концентрация | 1 мг/мл |
| Конъюгат | нет |
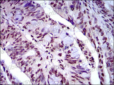
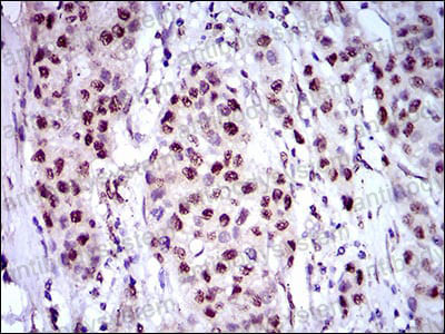
| Валидировано для | ELISA IHC WB Иммуноферментный анализ; Иммуногистохимия; Вестерн-блоттинг |
| Рекомендуемые разведения | ELISA: 1:10000, IHC: 1:200-1:1000, WB: 1:500-1:2000 |
| Метод очистки | Очистка с белками A/G из супернатанта клеточной культуры |
| Чистота | >95% |
| Состав буфера | 0.01M PBS, pH 7.4, 0.05% натрия азид |
| Условия доставки | термобокс с аккумуляторами холода |
| Условия хранения | Хранить при 4°C не более 1-2 недель. Хранить при -20°C - 12 месяцев |
| Срок хранения | 12 месяцев |
| Производитель | AntibodySystem |
| Ссылка на страницу товара на сайте производителя | https://www.antibodysystem.com/product/34344.html |
|
Артикул
|
Наименование |
Производитель
|
|---|
|
Артикул
|
Наименование |
Производитель
|
|---|
|
Артикул
|
Наименование |
Производитель
|
|---|
Акции и предложения
Популярные продукты:
Porcine phosphatidylcholine ELISA kit (E07P1058)
Организм: свинья
Anti-PRKDC Antibody (R3P80) (RHF68703)
Источник (хозяин): мышь
Реактивность подтвержденная: человек
Валидировано для: IF, IHC, IP, WB
Реактивность подтвержденная: человек
Валидировано для: IF, IHC, IP, WB
Anti-NAPSA Antibody (R2W58) (RHB83301)
Источник (хозяин): мышь
Реактивность подтвержденная: человек, крыса
Валидировано для: ELISA, IHC, WB
Реактивность подтвержденная: человек, крыса
Валидировано для: ELISA, IHC, WB
Anti-TSNAX Antibody (R2S79) (RHN87201)
Источник (хозяин): кролик
Реактивность подтвержденная: человек, мышь, крыса
Валидировано для: WB
Реактивность подтвержденная: человек, мышь, крыса
Валидировано для: WB
Anti-GSDME Antibody (R1E58) (RHA91102)
Источник (хозяин): кролик
Реактивность подтвержденная: человек
Валидировано для: IP, WB
Реактивность подтвержденная: человек
Валидировано для: IP, WB
Rabbit Anti-NeuN Antibody (SAA2241) (RHA00601)
Источник (хозяин): кролик
Реактивность подтвержденная: человек, мышь, крыса
Валидировано для: FCM, ICC, IF, IHC, WB
Реактивность подтвержденная: человек, мышь, крыса
Валидировано для: FCM, ICC, IF, IHC, WB

