| UNIPROT | O95169 |
Anti-NDUFB8 Antibody (R2W18) (RHB55302)
Реактивность подтвержденная:
человек, мышь, крыса
Источник (хозяин):
мышь
Валидировано для:
IHC
IP
WB
Характеристики
Техническое описание
| Русское название | RHB55302 Моноклональное антитело к NDUFB8 (R2W18) <AntibodySystem,Китай> |
| Каталожный номер | RHB55302 |
| Название антигена | NADH Dehydrogenase Ubiquinone 1 Beta Subcomplex 8 (NDUFb8) |
| UNIPROT | O95169 |
| Английские синонимы | ASHI, CI-ASHI, Complex I ASHI Subunit, NADH-ubiquinone oxidoreductase ASHI subunit, NADH dehydrogenase [ubiquinone] 1 beta subcomplex subunit 8, mitochondrial |
Реактивность подтвержденная Нужна другая реактивность? |
человек, мышь, крыса |
| Источник (хозяин) | мышь |
| Изотип | IgG1 |
| Клональность | моноклональное |
| Клон | R2W18 |
| Рекомбинантное | да |
| Готовое к использованию | нет |
| Концентрация | 1 мг/мл |
| Конъюгат | нет |
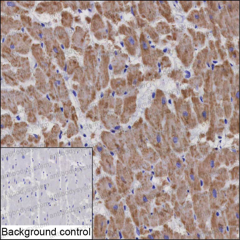
| Валидировано для | IHC IP WB Иммуногистохимия; Иммунопреципитация; Вестерн-блоттинг |
| Рекомендуемые разведения | IHC: 1:25-1:200, IP: 1:100-1:200, WB: 1:500-1:1000 |
| Метод очистки | Очистка с белками A/G из супернатанта клеточной культуры |
| Чистота | >95% |
| Состав буфера | 0.01M PBS, pH 7.4, 0.05% натрия азид |
| Условия доставки | термобокс с аккумуляторами холода |
| Условия хранения | Хранить при 4°C не более 1-2 недель. Хранить при -20°C - 12 месяцев |
| Срок хранения | 12 месяцев |
| Производитель | AntibodySystem |
| Ссылка на страницу товара на сайте производителя | https://www.antibodysystem.com/product/34304.html |
|
Артикул
|
Наименование |
Производитель
|
|---|
|
Артикул
|
Наименование |
Производитель
|
|---|
Акции и предложения
Популярные продукты:
Polyclonal Antibody to Serglycin (SRGN) (PAC869Hu08)
Источник (хозяин): кролик
Реактивность подтвержденная: человек
Валидировано для: ICC, IF
Реактивность подтвержденная: человек
Валидировано для: ICC, IF
Monoclonal Antibody to Ly1 Antibody Reactive Homolog (LYAR) (MAR532Hu21)
Источник (хозяин): мышь
Реактивность подтвержденная: человек
Валидировано для: WB
Реактивность подтвержденная: человек
Валидировано для: WB
Canine COUP transcription factor 1(NR2F1) ELISA kit (E08C2364)
Организм: собака
Canine Apelin receptor(APLNR) ELISA kit (E08A1593)
Организм: собака
Human Cathepsin E(CTSE) ELISA kit (E01C2163)
Организм: человек
Диапазон определения: 1-25 нг/мл
Чувствительность: 0.1 нг/мл
Диапазон определения: 1-25 нг/мл
Чувствительность: 0.1 нг/мл

