| UNIPROT | O75306 |
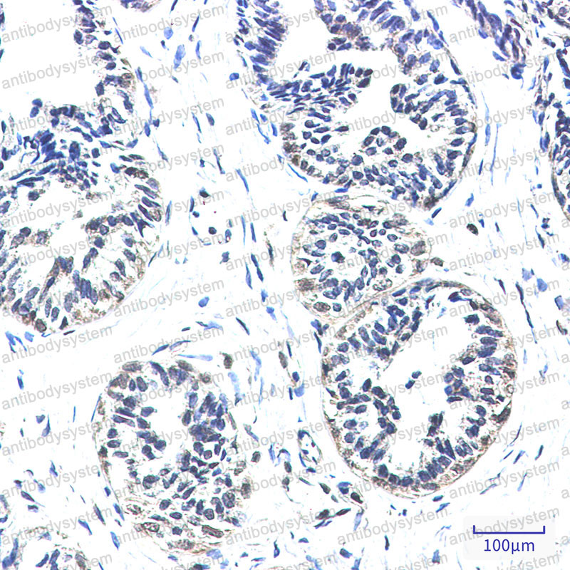
Anti-NDUFS2 Antibody (R1F12) (RHB13801)
Реактивность подтвержденная:
человек
Источник (хозяин):
кролик
Валидировано для:
IHC
IP
WB
Характеристики
Техническое описание
| Русское название | RHB13801 Моноклональное антитело к NDUFS2 (R1F12) <AntibodySystem,Китай> |
| Каталожный номер | RHB13801 |
| Название антигена | NADH Dehydrogenase Ubiquinone Fe-S Protein 2 (NDUFS2) |
| UNIPROT | O75306 |
| Английские синонимы | CI-49, Complex I-49kD, NADH-ubiquinone oxidoreductase 49 kDa subunit, NADH dehydrogenase [ubiquinone] iron-sulfur protein 2, mitochondrial |
Реактивность подтвержденная Нужна другая реактивность? |
человек |
| Источник (хозяин) | кролик |
| Изотип | IgG |
| Клональность | моноклональное |
| Клон | R1F12 |
| Рекомбинантное | да |
| Готовое к использованию | нет |
| Концентрация | 1 мг/мл |
| Конъюгат | нет |
| Валидировано для | IHC IP WB Иммуногистохимия; Иммунопреципитация; Вестерн-блоттинг |
| Рекомендуемые разведения | IHC: 1:50-1:100, IP: 1:20, WB: 1:500-1:1000 |
| Метод очистки | Очистка с белками A/G из супернатанта клеточной культуры |
| Чистота | >95% |
| Состав буфера | 0.01M PBS, pH 7.4, 0.05% БСА, 50% глицерин, 0.05% азид натрия |
| Условия доставки | термобокс с аккумуляторами холода |
| Условия хранения | Хранить при -20 С -12 месяцев |
| Срок хранения | 12 месяцев |
| Производитель | AntibodySystem |
| Ссылка на страницу товара на сайте производителя | https://www.antibodysystem.com/product/30160.html |
|
Артикул
|
Наименование |
Производитель
|
|---|
Акции и предложения
Популярные продукты:
Monoclonal Antibody to Alkaline Phosphatase, Placental (ALPP) (MAB219Hu27)
Источник (хозяин): мышь
Реактивность подтвержденная: человек
Валидировано для: IHC, WB
Реактивность подтвержденная: человек
Валидировано для: IHC, WB
Canine Protein Z ELISA kit (E08P0145)
Организм: собака
Anti-NDUFS2 Antibody (R1F11) (RHB13802)
Источник (хозяин): кролик
Реактивность подтвержденная: человек, мышь, крыса
Валидировано для: IHC, IP, WB
Реактивность подтвержденная: человек, мышь, крыса
Валидировано для: IHC, IP, WB
Anti-NDUFS2 Antibody (R1F12) (RHB13801)
Источник (хозяин): кролик
Реактивность подтвержденная: человек
Валидировано для: IHC, IP, WB
Реактивность подтвержденная: человек
Валидировано для: IHC, IP, WB
PAPSS2 Polyclonal Antibody (E-AB-52992)
Источник (хозяин): кролик
Реактивность подтвержденная: человек, мышь
Валидировано для: IHC, WB
Реактивность подтвержденная: человек, мышь
Валидировано для: IHC, WB
Monoclonal Antibody to S100 Calcium Binding Protein (S100) (MAA012Hu25)
Источник (хозяин): мышь
Реактивность подтвержденная: человек
Валидировано для: IHC
Реактивность подтвержденная: человек
Валидировано для: IHC

