| UNIPROT | P07196 |
Anti-NEFL Antibody (R3A03) (RHC23302)
Реактивность подтвержденная:
человек
Источник (хозяин):
мышь
Валидировано для:
ELISA
FCM
IF
IHC
WB
Характеристики
Техническое описание
| Русское название | RHC23302 Моноклональное антитело к NEFL (R3A03) <AntibodySystem,Китай> |
| Каталожный номер | RHC23302 |
| Название антигена | Neurofilament, Light Polypeptide (NEFL) |
| UNIPROT | P07196 |
| Английские синонимы | CMT1F, CMT2E, NF-L, NF68, NFL, 68 kDa neurofilament protein, Neurofilament triplet L protein |
Реактивность подтвержденная Нужна другая реактивность? |
человек |
| Источник (хозяин) | мышь |
| Изотип | IgG1 |
| Клональность | моноклональное |
| Клон | R3A03 |
| Рекомбинантное | да |
| Готовое к использованию | нет |
| Концентрация | 1 мг/мл |
| Конъюгат | нет |
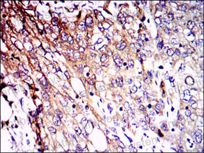
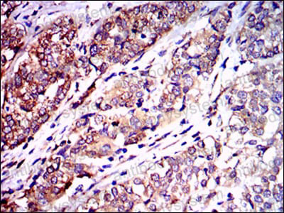
| Валидировано для | ELISA FCM IF IHC WB Иммуноферментный анализ; Проточная цитометрия; Иммунофлуоресценция; Иммуногистохимия; Вестерн-блоттинг |
| Рекомендуемые разведения | ELISA: 1:10000, FCM: 1:200-1:400, IF: 1:200-1:1000, IHC: 1:200-1:1000, WB: 1:500-1:2000 |
| Метод очистки | Очистка с белками A/G из супернатанта клеточной культуры |
| Чистота | >95% |
| Состав буфера | 0.01M PBS, pH 7.4, 0.05% натрия азид |
| Условия доставки | термобокс с аккумуляторами холода |
| Условия хранения | Хранить при 4°C не более 1-2 недель. Хранить при -20°C - 12 месяцев |
| Срок хранения | 12 месяцев |
| Производитель | AntibodySystem |
| Ссылка на страницу товара на сайте производителя | https://www.antibodysystem.com/product/34685.html |
|
Артикул
|
Наименование |
Производитель
|
|---|
|
Артикул
|
Наименование |
Производитель
|
|---|
|
Артикул
|
Наименование |
Производитель
|
|---|
|
Артикул
|
Наименование |
Производитель
|
|---|
|
Артикул
|
Наименование |
Производитель
|
|---|
Акции и предложения
Популярные продукты:
Canine D aspartate oxidase(DDO) ELISA kit (E08D0280)
Организм: собака
Bovine Neurofilament light polypeptide(NEFL) ELISA kit (E11N0542)
Организм: корова
Guinea Pig Alpha B Crystallin ELISA kit (E05C0343)
Организм: морская свинка
Sheep Matrix Metalloproteinase 8 ELISA kit (E14M0325)
Организм: овца
Goat Matrix Metalloproteinase 8 ELISA kit (E06M0325)
Организм: коза
Recombinant Human FABP5 Protein, N-His (YHF87101)
Источник (хозяин): E.coli
Организм: человек
Фрагмент: Met1-Glu135
Теги: N-His
Биоактивность: нет
Организм: человек
Фрагмент: Met1-Glu135
Теги: N-His
Биоактивность: нет

