| UNIPROT | P07196 |
Anti-NEFL Antibody (R3A04) (RHC23303)
Реактивность подтвержденная:
человек
Источник (хозяин):
мышь
Валидировано для:
ELISA
FCM
IF
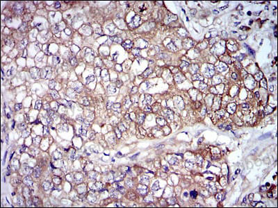
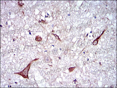
IHC
WB
Характеристики
Техническое описание
| Русское название | RHC23303 Моноклональное антитело к NEFL (R3A04) <AntibodySystem,Китай> |
| Каталожный номер | RHC23303 |
| Название антигена | Neurofilament, Light Polypeptide (NEFL) |
| UNIPROT | P07196 |
| Английские синонимы | CMT1F, CMT2E, NF-L, NF68, NFL, 68 kDa neurofilament protein, Neurofilament triplet L protein |
Реактивность подтвержденная Нужна другая реактивность? |
человек |
| Источник (хозяин) | мышь |
| Изотип | IgG1 |
| Клональность | моноклональное |
| Клон | R3A04 |
| Рекомбинантное | да |
| Готовое к использованию | нет |
| Концентрация | 1 мг/мл |
| Конъюгат | нет |
| Валидировано для | ELISA FCM IF IHC WB Иммуноферментный анализ; Проточная цитометрия; Иммунофлуоресценция; Иммуногистохимия; Вестерн-блоттинг |
| Рекомендуемые разведения | ELISA: 1:10000, FCM: 1:200-1:400, IF: 1:200-1:1000, IHC: 1:200-1:1000, WB: 1:500-1:2000 |
| Метод очистки | Очистка с белками A/G из супернатанта клеточной культуры |
| Чистота | >95% |
| Состав буфера | 0.01M PBS, pH 7.4, 0.05% натрия азид |
| Условия доставки | термобокс с аккумуляторами холода |
| Условия хранения | Хранить при 4°C не более 1-2 недель. Хранить при -20°C - 12 месяцев |
| Срок хранения | 12 месяцев |
| Производитель | AntibodySystem |
| Ссылка на страницу товара на сайте производителя | https://www.antibodysystem.com/product/34686.html |
|
Артикул
|
Наименование |
Производитель
|
|---|
|
Артикул
|
Наименование |
Производитель
|
|---|
|
Артикул
|
Наименование |
Производитель
|
|---|
|
Артикул
|
Наименование |
Производитель
|
|---|
|
Артикул
|
Наименование |
Производитель
|
|---|
Акции и предложения
Популярные продукты:
Chicken Sperm Protein 17 ELISA kit (E12S0157)
Организм: курица
Anti-Heat Shock Protein 27 (Hsp27) Polyclonal Antibody (FAA693Mu01)
Источник (хозяин): кролик
Реактивность подтвержденная: мышь
Валидировано для: FCM
Реактивность подтвержденная: мышь
Валидировано для: FCM
Anti-HMPV Fusion glycoprotein F hIgM ELISA Kit (KAV22903)
Организм: человек
ELISA Kit DIY Materials for Bisphosphoglycerate Mutase (BPGM) (KSD716Hu01)
Организм: человек
Диапазон определения: 0.312-20 нг/мл
Чувствительность: 0.115 нг/мл
Диапазон определения: 0.312-20 нг/мл
Чувствительность: 0.115 нг/мл
ELISA Kit DIY Materials for Proprotein Convertase Subtilisin/Kexin Type 9 (PCSK9) (KSE189Mu01)
Организм: мышь
Диапазон определения: 15.6-1000 пг/мл
Чувствительность: 6.0 пг/мл
Диапазон определения: 15.6-1000 пг/мл
Чувствительность: 6.0 пг/мл
ELISA Kit DIY Materials for Transforming Growth Factor Alpha (TGFa) (KSA123Ra01)
Организм: крыса
Диапазон определения: 7.8-500 пг/мл
Чувствительность: 3.2 пг/мл
Диапазон определения: 7.8-500 пг/мл
Чувствительность: 3.2 пг/мл

