| UNIPROT | P07196 |
Anti-NEFL Antibody (R3A05) (RHC23301)
Реактивность подтвержденная:
человек, мышь, крыса, кролик
Источник (хозяин):
мышь
Валидировано для:
ELISA
FCM
IHC
WB
Характеристики
Техническое описание
| Русское название | RHC23301 Моноклональное антитело к NEFL (R3A05) <AntibodySystem,Китай> |
| Каталожный номер | RHC23301 |
| Название антигена | Neurofilament, Light Polypeptide (NEFL) |
| UNIPROT | P07196 |
| Английские синонимы | CMT1F, CMT2E, NF-L, NF68, NFL, 68 kDa neurofilament protein, Neurofilament triplet L protein |
Реактивность подтвержденная Нужна другая реактивность? |
человек, мышь, крыса, кролик |
| Источник (хозяин) | мышь |
| Изотип | IgG1 |
| Клональность | моноклональное |
| Клон | R3A05 |
| Рекомбинантное | да |
| Готовое к использованию | нет |
| Концентрация | 1 мг/мл |
| Конъюгат | нет |
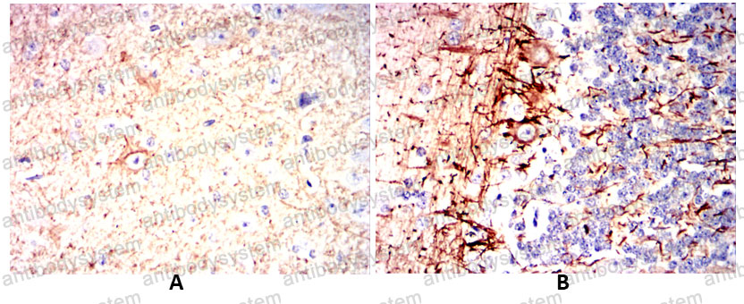
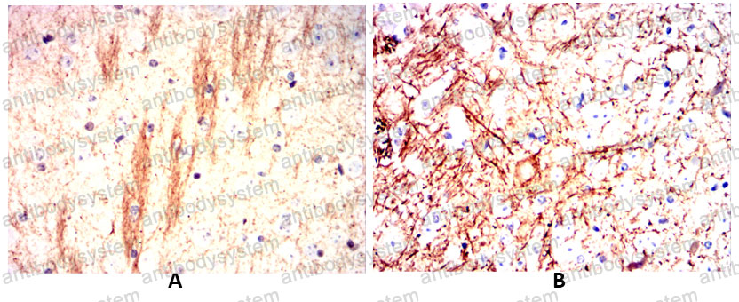
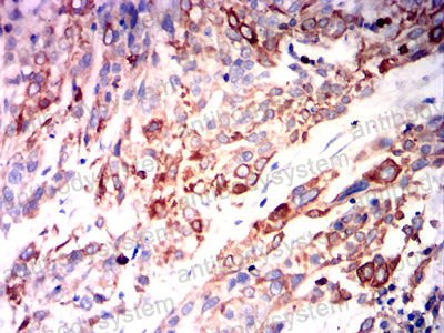
| Валидировано для | ELISA FCM IHC WB Иммуноферментный анализ; Проточная цитометрия; Иммуногистохимия; Вестерн-блоттинг |
| Рекомендуемые разведения | ELISA: 1:10000, FCM: 1:200-1:400, IHC: 1:100-1:500, WB: 1:500-1:2000 |
| Метод очистки | Очистка с белками A/G из супернатанта клеточной культуры |
| Чистота | >95% |
| Состав буфера | 0.01M PBS, pH 7.4, 0.05% натрия азид |
| Условия доставки | термобокс с аккумуляторами холода |
| Условия хранения | Хранить при 4°C не более 1-2 недель. Хранить при -20°C - 12 месяцев |
| Срок хранения | 12 месяцев |
| Производитель | AntibodySystem |
| Ссылка на страницу товара на сайте производителя | https://www.antibodysystem.com/product/34687.html |
|
Артикул
|
Наименование |
Производитель
|
|---|
|
Артикул
|
Наименование |
Производитель
|
|---|
|
Артикул
|
Наименование |
Производитель
|
|---|
|
Артикул
|
Наименование |
Производитель
|
|---|
Акции и предложения
Популярные продукты:
Canine D aspartate oxidase(DDO) ELISA kit (E08D0280)
Организм: собака
Chicken Centrin 1(CETN1) ELISA kit (E12C1626)
Организм: курица
Canine Normetanephrine ELISA kit (E08N0588)
Организм: собака
Guinea Pig Alpha B Crystallin ELISA kit (E05C0343)
Организм: морская свинка
Goat Matrix Metalloproteinase 8 ELISA kit (E06M0325)
Организм: коза
Monoclonal Antibody to Beta-2-Microglobulin (b2M) (MAA260Hu29)
Источник (хозяин): мышь
Реактивность подтвержденная: человек
Валидировано для: WB
Реактивность подтвержденная: человек
Валидировано для: WB

