| UNIPROT | Q15653 |
Anti-NFKBIB/IKB beta Antibody (R3T88) (RHH15903)
Реактивность подтвержденная:
человек, мышь, крыса
Источник (хозяин):
мышь
Валидировано для:
IHC
Характеристики
Техническое описание
| Русское название | RHH15903 Моноклональное антитело к NFKBIB/IKB бета (R3T88) <AntibodySystem,Китай> |
| Каталожный номер | RHH15903 |
| Название антигена | Inhibitory Subunit Of NF Kappa B Beta (IkBb) |
| UNIPROT | Q15653 |
| Английские синонимы | TRIP9, NFKBIB, Thyroid receptor-interacting protein 9, Nuclear Factor Of Kappa Light Polypeptide Gene Enhancer In B-Cells Inhibitor,Beta, NF-Kappa-B Inhibitor Beta |
Реактивность подтвержденная Нужна другая реактивность? |
человек, мышь, крыса |
| Источник (хозяин) | мышь |
| Изотип | IgG1 |
| Клональность | моноклональное |
| Клон | R3T88 |
| Рекомбинантное | да |
| Готовое к использованию | нет |
| Концентрация | 1 мг/мл |
| Конъюгат | нет |
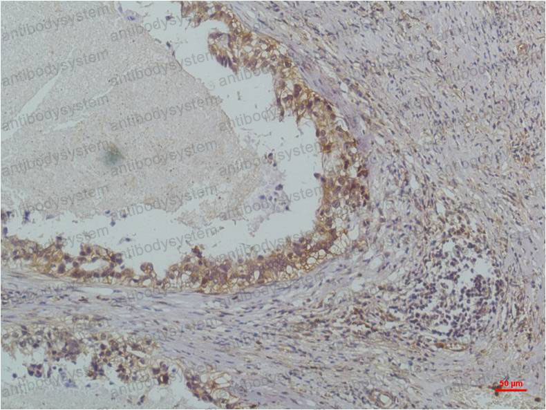
| Валидировано для | IHC Иммуногистохимия |
| Рекомендуемые разведения | IHC: 1:50-1:100 |
| Метод очистки | Очистка с белками A/G из супернатанта клеточной культуры |
| Чистота | >95% |
| Состав буфера | 0.01M PBS, pH 7.4, 0.5% БСА, 0.05% натрия азид,50% глицерин |
| Условия хранения | Хранить при 4°C не более 1-2 недель. Хранить при -20°C - 12 месяцев |
| Срок хранения | 12 месяцев |
| Производитель | AntibodySystem |
| Ссылка на страницу товара на сайте производителя | https://www.antibodysystem.com/product/36452.html |
|
Артикул
|
Наименование |
Производитель
|
|---|
|
Артикул
|
Наименование |
Производитель
|
|---|
|
Артикул
|
Наименование |
Производитель
|
|---|
|
Артикул
|
Наименование |
Производитель
|
|---|
Акции и предложения
Популярные продукты:
ELISA Kit for Pannexin 1 (PANX1) (SEE788Ra)
Организм: крыса
Диапазон определения: 0.156-10 нг/мл
Чувствительность: 0.054 нг/мл
Диапазон определения: 0.156-10 нг/мл
Чувствительность: 0.054 нг/мл
Anti-HMPV Prefusion/Pre-F Antibody (SAb2305) (RVV22904)
Источник (хозяин): человек
Реактивность подтвержденная: вирусы
Валидировано для: ELISA
Реактивность подтвержденная: вирусы
Валидировано для: ELISA
Chicken Copine 1(CPNE1) ELISA kit (E12C2010)
Организм: курица
Mouse AP-4 complex subunit mu-1(AP4M1) ELISA kit (E03A1577)
Организм: мышь

