| UNIPROT | Q96P20 |
Anti-NLRP3 Antibody (R2J72) (RHJ41103)
Реактивность подтвержденная:
человек, мышь, крыса
Источник (хозяин):
кролик
Валидировано для:
IF
IHC
WB
Характеристики
Техническое описание
| Русское название | RHJ41103 Моноклональное антитело к NLRP3 (R2J72) <AntibodySystem,Китай> |
| Каталожный номер | RHJ41103 |
| Название антигена | NLR Family, Pyrin Domain Containing Protein 3 (NLRP3) |
| UNIPROT | Q96P20 |
| Английские синонимы | AVP, AGTAVPRL, AII, AII/AVP, C1orf7, CIAS1, CLR1.1, FCAS, FCU, MWS, NALP3, PYPAF1, Cryopyrin, Cold Induced Autoinflammatory Syndrome 1, Caterpiller-Like Receptor 1.1 |
Реактивность подтвержденная Нужна другая реактивность? |
человек, мышь, крыса |
| Источник (хозяин) | кролик |
| Изотип | IgG |
| Клональность | моноклональное |
| Клон | R2J72 |
| Рекомбинантное | да |
| Готовое к использованию | нет |
| Концентрация | 1 мг/мл |
| Конъюгат | нет |
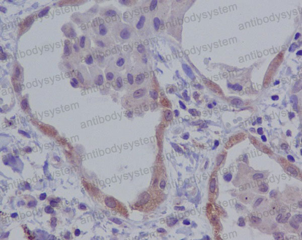
| Валидировано для | IF IHC WB Иммунофлуоресценция; Иммуногистохимия; Вестерн-блоттинг |
| Рекомендуемые разведения | IF: 1:50-1:200, IHC: 1:100-1:200, WB: 1:1000-1:2000 |
| Метод очистки | Очистка с белками A/G из супернатанта клеточной культуры |
| Чистота | >95% |
| Состав буфера | 0.01M PBS, pH 7.4, 0.05% БСА, 50% глицерин, 0.05% азид натрия |
| Условия доставки | термобокс с аккумуляторами холода |
| Условия хранения | Хранить при -20 С -12 месяцев |
| Срок хранения | 12 месяцев |
| Производитель | AntibodySystem |
| Ссылка на страницу товара на сайте производителя | https://www.antibodysystem.com/product/32893.html |
|
Артикул
|
Наименование |
Производитель
|
|---|
|
Артикул
|
Наименование |
Производитель
|
|---|
|
Артикул
|
Наименование |
Производитель
|
|---|
|
Артикул
|
Наименование |
Производитель
|
|---|
Акции и предложения
Популярные продукты:
Guinea Pig Metallothionein 1E(MT1E) ELISA kit (E05M0403)
Организм: морская свинка
Recombinant Human KRAS4B(G12C, N-6His) (PKSH033933)
Источник (хозяин): E.coli
Организм: человек
Фрагмент: Met1-Lys169(Gly12Cys)
Теги: N-His
Биоактивность: нет
Организм: человек
Фрагмент: Met1-Lys169(Gly12Cys)
Теги: N-His
Биоактивность: нет
NLRP3 Mouse monoclonal Antibody (BF8029)
Источник (хозяин): мышь
Реактивность подтвержденная: человек, мышь, крыса
Валидировано для: IHC, WB
Реактивность подтвержденная: человек, мышь, крыса
Валидировано для: IHC, WB
Cyclin E1 Mouse Monoclonal Antibody (BF8955)
Источник (хозяин): мышь
Реактивность подтвержденная: человек
Валидировано для: WB
Реактивность подтвержденная: человек
Валидировано для: WB
Multiplex Assay Kit for Fission 1 (FIS1) (LMJ105Ra)
Организм: крыса
Диапазон определения: 0.02-20 нг/мл
Чувствительность: 0.007 нг/мл
Диапазон определения: 0.02-20 нг/мл
Чувствительность: 0.007 нг/мл
ELISA Kit DIY Materials for NLR Family, Pyrin Domain Containing Protein 3 (NLRP3) (KSK115Mu01)
Организм: мышь
Диапазон определения: 0.312-20 нг/мл
Чувствительность: 0.113 нг/мл
Диапазон определения: 0.312-20 нг/мл
Чувствительность: 0.113 нг/мл

