| UNIPROT | P35228 |
Anti-NOS2/iNOS Antibody (R3J72) (RHE08001)
Реактивность подтвержденная:
человек, мышь, крыса, обезьяна
Источник (хозяин):
мышь
Валидировано для:
ELISA
FCM
IHC
WB
Характеристики
Техническое описание
| Русское название | RHE08001 Моноклональное антитело к NOS2/iNOS (R3J72) <AntibodySystem,Китай> |
| Каталожный номер | RHE08001 |
| Название антигена | Nitric Oxide Synthase 2, Inducible (NOS2) |
| UNIPROT | P35228 |
| Английские синонимы | NOS2A, INOS, HEP-NOS, I-NOS, Hepatocytes Oxide Synthase, Peptidyl-cysteine S-nitrosylase NOS2, iNOS |
| Русские синонимы | Индуцибельная синтаза оксида азота, индуцируемая NO-синтаза |
Реактивность подтвержденная Нужна другая реактивность? |
человек, мышь, крыса, обезьяна |
| Источник (хозяин) | мышь |
| Изотип | IgG1 |
| Клональность | моноклональное |
| Клон | R3J72 |
| Рекомбинантное | да |
| Готовое к использованию | нет |
| Концентрация | 1 мг/мл |
| Конъюгат | нет |
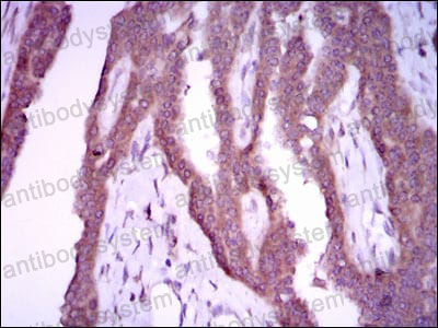
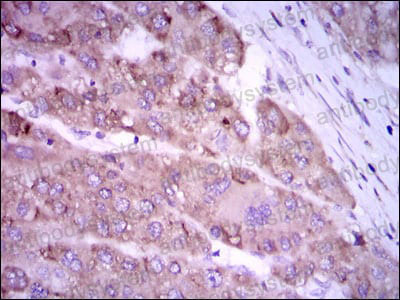
| Валидировано для | ELISA FCM IHC WB Иммуноферментный анализ; Проточная цитометрия; Иммуногистохимия; Вестерн-блоттинг |
| Рекомендуемые разведения | ELISA: 1:10000, FCM: 1:200-1:400, IHC: 1:200-1:1000, WB: 1:500-1:2000 |
| Метод очистки | Очистка с белками A/G из супернатанта клеточной культуры |
| Чистота | >95% |
| Состав буфера | 0.01M PBS, pH 7.4, 0.05% натрия азид |
| Условия хранения | Хранить при 4°C не более 1-2 недель. Хранить при -20°C - 12 месяцев |
| Срок хранения | 12 месяцев |
| Производитель | AntibodySystem |
| Ссылка на страницу товара на сайте производителя | https://www.antibodysystem.com/product/35546.html |
|
Артикул
|
Наименование |
Производитель
|
|---|
|
Артикул
|
Наименование |
Производитель
|
|---|
|
Артикул
|
Наименование |
Производитель
|
|---|
|
Артикул
|
Наименование |
Производитель
|
|---|
|
Артикул
|
Наименование |
Производитель
|
|---|
|
Артикул
|
Наименование |
Производитель
|
|---|
|
Артикул
|
Наименование |
Производитель
|
|---|
Акции и предложения
Популярные продукты:
Monoclonal Antibody to Pepsinogen A (PGA) (MAA165Ra22)
Источник (хозяин): мышь
Реактивность подтвержденная: крыса
Валидировано для: WB
Реактивность подтвержденная: крыса
Валидировано для: WB
Chicken Glycocalicin ELISA kit (E12G0097)
Организм: курица
Biotin-Linked Monoclonal Antibody to Pepsinogen A (PGA) (LAA165Hu72)
Источник (хозяин): мышь
Реактивность подтвержденная: человек
Валидировано для: IHC, WB
Реактивность подтвержденная: человек
Валидировано для: IHC, WB
Monoclonal Antibody to Pepsinogen A (PGA) (MAA165Hu26)
Источник (хозяин): мышь
Реактивность подтвержденная: человек
Валидировано для: FCM, IHC, WB
Реактивность подтвержденная: человек
Валидировано для: FCM, IHC, WB
Monoclonal Antibody to Pepsinogen A (PGA) (MAA165Hu25)
Источник (хозяин): мышь
Реактивность подтвержденная: человек
Валидировано для: FCM, IHC, WB
Реактивность подтвержденная: человек
Валидировано для: FCM, IHC, WB
Monoclonal Antibody to Pepsinogen A (PGA) (MAA165Hu21)
Источник (хозяин): мышь
Реактивность подтвержденная: человек
Валидировано для: IHC, WB
Реактивность подтвержденная: человек
Валидировано для: IHC, WB

