| UNIPROT | Q04721 |
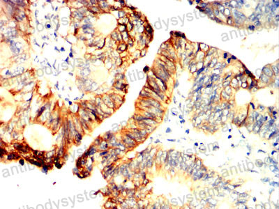
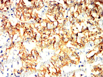
Anti-NOTCH2 Antibody (R3Q96) (RHG01803)
Реактивность подтвержденная:
человек
Источник (хозяин):
мышь
Валидировано для:
ELISA
FCM
IF
IHC
Характеристики
Техническое описание
| Русское название | RHG01803 Моноклональное антитело к NOTCH2 (R3Q96) <AntibodySystem,Китай> |
| Каталожный номер | RHG01803 |
| Название антигена | Notch Homolog 2 (NOTCH2) |
| UNIPROT | Q04721 |
| Английские синонимы | AGS2, hN2, Neurogenic locus notch homolog protein 2 |
Реактивность подтвержденная Нужна другая реактивность? |
человек |
| Источник (хозяин) | мышь |
| Изотип | IgG2a |
| Клональность | моноклональное |
| Клон | R3Q96 |
| Рекомбинантное | да |
| Готовое к использованию | нет |
| Концентрация | 1 мг/мл |
| Конъюгат | нет |
| Валидировано для | ELISA FCM IF IHC Иммуноферментный анализ; Проточная цитометрия; Иммунофлуоресценция; Иммуногистохимия |
| Рекомендуемые разведения | ELISA: 1:10000, FCM: 1:200-1:400, IF: 1:50-1:200, IHC: 1:200-1:1000 |
| Метод очистки | Очистка с белками A/G из супернатанта клеточной культуры |
| Чистота | >95% |
| Состав буфера | 0.01M PBS, pH 7.4, 0.05% натрия азид |
| Условия хранения | Хранить при 4°C не более 1-2 недель. Хранить при -20°C - 12 месяцев |
| Срок хранения | 12 месяцев |
| Производитель | AntibodySystem |
| Ссылка на страницу товара на сайте производителя | https://www.antibodysystem.com/product/36164.html |
|
Артикул
|
Наименование |
Производитель
|
|---|
|
Артикул
|
Наименование |
Производитель
|
|---|
Акции и предложения
Популярные продукты:
Chicken Angiopoietin 4 ELISA kit (E12A0637)
Организм: курица
Canine Angiopoietin 4 ELISA kit (E08A0637)
Организм: собака
Goat Angiopoietin 4 ELISA kit (E06A0637)
Организм: коза
Guinea Pig Angiopoietin 4 ELISA kit (E05A0637)
Организм: морская свинка
Guinea Pig A Disintegrin And Metalloprotease 15,ADAM15 ELISA Kit (E05A1243)
Организм: морская свинка

