| UNIPROT | Q9NPH5 |
Anti-NOX4 Antibody (R3W78) (RHJ63501)
Реактивность подтвержденная:
человек
Источник (хозяин):
мышь
Валидировано для:
ELISA
FCM
IF
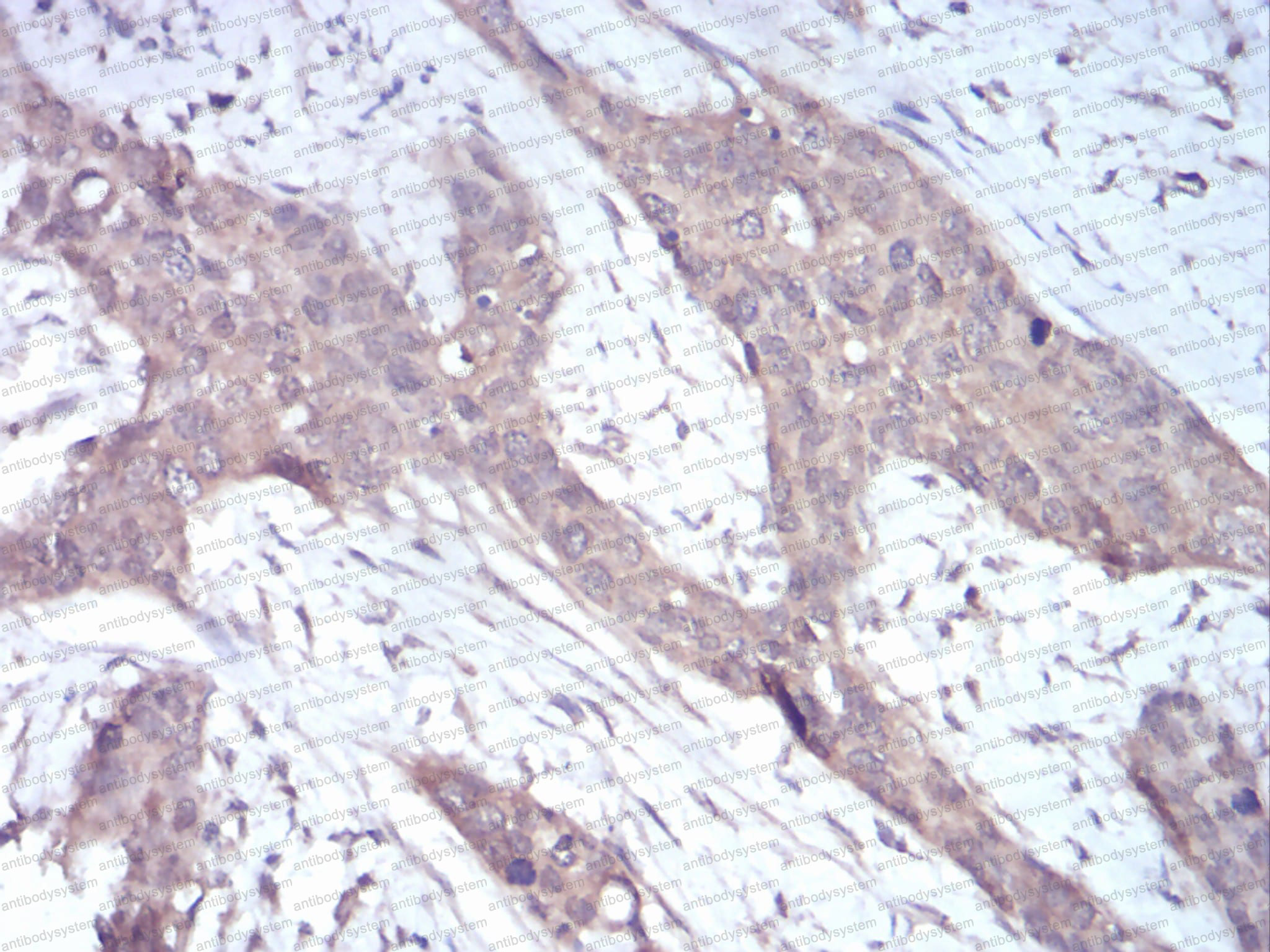
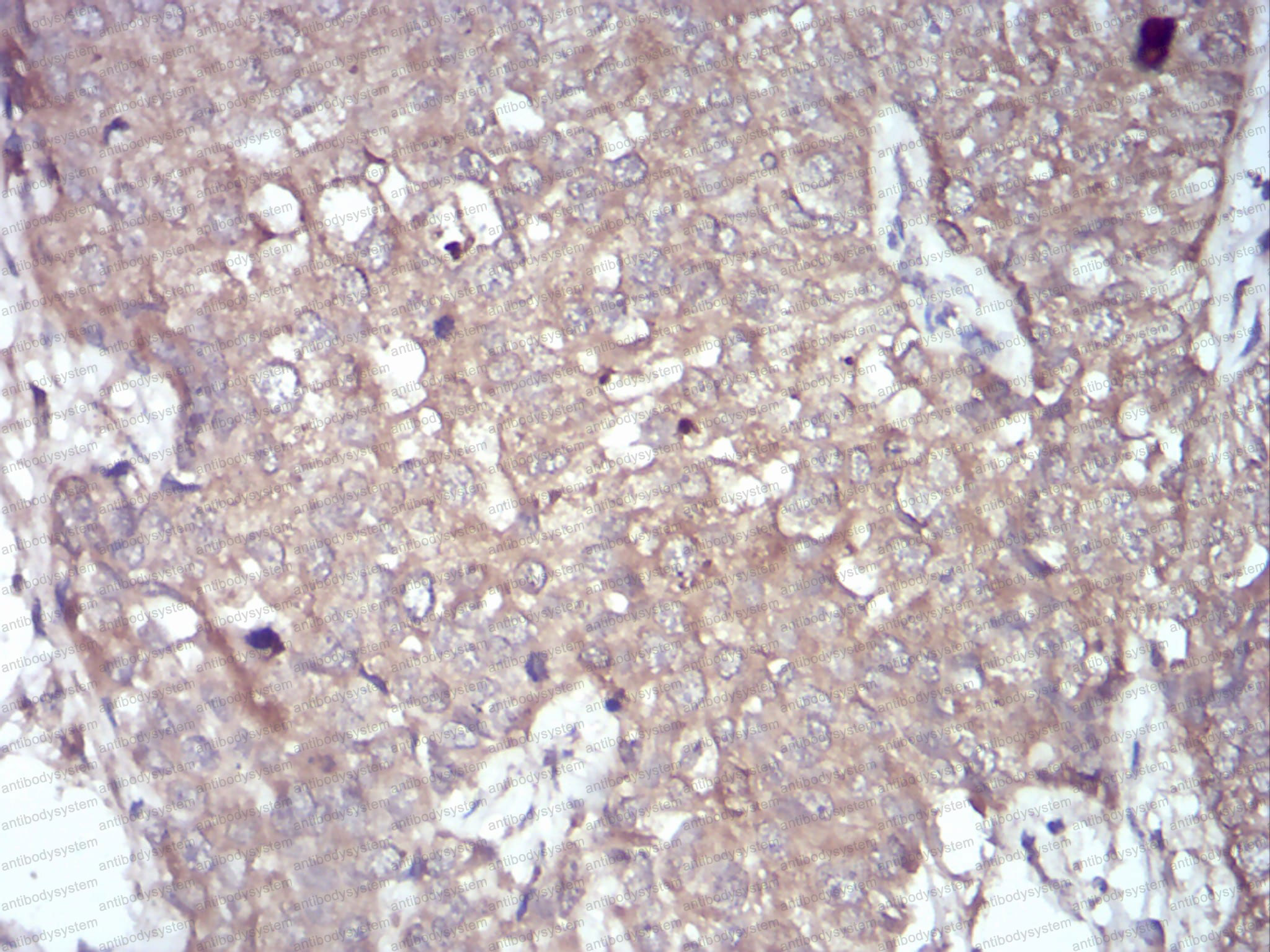
IHC
Характеристики
Техническое описание
| Русское название | RHJ63501 Моноклональное антитело к NOX4 (R3W78) <AntibodySystem,Китай> |
| Каталожный номер | RHJ63501 |
| Название антигена | Nicotinamide Adenine Dinucleotide Phosphate Oxidase 4 (NOX4) |
| UNIPROT | Q9NPH5 |
| Английские синонимы | KOX, KOX-1, RENOX, NADPH Oxidase 4 |
Реактивность подтвержденная Нужна другая реактивность? |
человек |
| Источник (хозяин) | мышь |
| Изотип | IgG1 |
| Клональность | моноклональное |
| Клон | R3W78 |
| Рекомбинантное | да |
| Готовое к использованию | нет |
| Концентрация | 1 мг/мл |
| Конъюгат | нет |
| Валидировано для | ELISA FCM IF IHC Иммуноферментный анализ; Проточная цитометрия; Иммунофлуоресценция; Иммуногистохимия |
| Рекомендуемые разведения | ELISA: 1:10000, FCM: 1:200-1:400, IF: 1:200-1:1000, IHC: 1:200-1:1000 |
| Метод очистки | Очистка с белками A/G из супернатанта клеточной культуры |
| Чистота | >95% |
| Состав буфера | 0.01M PBS, pH 7.4, 0.05% натрия азид |
| Условия хранения | Хранить при 4°C не более 1-2 недель. Хранить при -20°C - 12 месяцев |
| Срок хранения | 12 месяцев |
| Производитель | AntibodySystem |
| Ссылка на страницу товара на сайте производителя | https://www.antibodysystem.com/product/36739.html |
|
Артикул
|
Наименование |
Производитель
|
|---|
|
Артикул
|
Наименование |
Производитель
|
|---|
|
Артикул
|
Наименование |
Производитель
|
|---|
|
Артикул
|
Наименование |
Производитель
|
|---|
|
Артикул
|
Наименование |
Производитель
|
|---|
Акции и предложения
Популярные продукты:
Guinea Pig Probable ATP dependent RNA helicase DDX20(DDX20) ELISA kit (E05P0772)
Организм: морская свинка
Chicken Arylsulfatase F(ARSF) ELISA kit (E12A1687)
Организм: курица
Hamster Proteasome subunit β type 5 ELISA kit (E18P1263)
Организм: хомяк
Canine Cytochrome P450 2D6(CYP2D6) ELISA kit (E08C2242)
Организм: собака
Monkey General Transcription Factor IIF, Polypeptide 1 ELISA kit (E09G0284)
Организм: обезьяна
Recombinant Human PIN1 Protein, N-GST (YHG57503)
Источник (хозяин): E.coli
Организм: человек
Фрагмент: Glu51-Glu163
Теги: N-GST
Биоактивность: нет
Организм: человек
Фрагмент: Glu51-Glu163
Теги: N-GST
Биоактивность: нет

