| UNIPROT | O15118 |
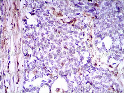
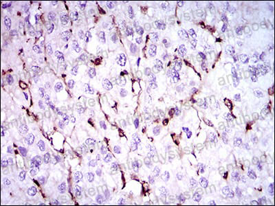
Anti-NPC1 Antibody (R2U37) (RHA41901)
Реактивность подтвержденная:
человек
Источник (хозяин):
мышь
Валидировано для:
ELISA
FCM
IHC
Характеристики
Техническое описание
| Русское название | RHA41901 Моноклональное антитело к NPC1 (R2U37) <AntibodySystem,Китай> |
| Каталожный номер | RHA41901 |
| Название антигена | Niemann Pick Disease Type C1 (NPC1) |
| UNIPROT | O15118 |
Реактивность подтвержденная Нужна другая реактивность? |
человек |
| Источник (хозяин) | мышь |
| Изотип | IgG1 |
| Клональность | моноклональное |
| Клон | R2U37 |
| Рекомбинантное | да |
| Готовое к использованию | нет |
| Концентрация | 1 мг/мл |
| Конъюгат | нет |
| Валидировано для | ELISA FCM IHC Иммуноферментный анализ; Проточная цитометрия; Иммуногистохимия |
| Рекомендуемые разведения | ELISA: 1:10000, FCM: 1:200-1:400, IHC: 1:200-1:1000 |
| Метод очистки | Очистка с белками A/G из супернатанта клеточной культуры |
| Чистота | >95% |
| Состав буфера | 0.01M PBS, pH 7.4, 0.05% натрия азид |
| Условия доставки | термобокс с аккумуляторами холода |
| Условия хранения | Хранить при 4°C не более 1-2 недель. Хранить при -20°C - 12 месяцев |
| Срок хранения | 12 месяцев |
| Производитель | AntibodySystem |
| Ссылка на страницу товара на сайте производителя | https://www.antibodysystem.com/product/34125.html |
|
Артикул
|
Наименование |
Производитель
|
|---|
|
Артикул
|
Наименование |
Производитель
|
|---|
Акции и предложения
Популярные продукты:
Bovine FOS Like Antigen 1 ELISA kit (E11F0013)
Организм: корова
Monkey FOS Like Antigen 1 ELISA kit (E09F0013)
Организм: обезьяна
Guinea Pig 60S ribosomal protein L9(RPL9) ELISA kit (E05R0470)
Организм: морская свинка
Mouse Lipoarabinomannan ELISA kit (E03L0207)
Организм: мышь

