| UNIPROT | O75607 |
Anti-NPM3 Antibody (R2V82) (RHB26402)
Реактивность подтвержденная:
человек, мышь
Источник (хозяин):
мышь
Валидировано для:
ELISA
FCM
IF
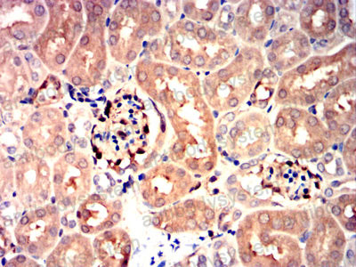
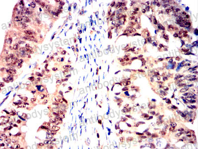
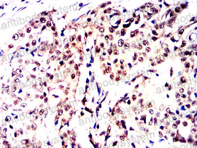
IHC
Характеристики
Техническое описание
| Русское название | RHB26402 Моноклональное антитело к NPM3 (R2V82) <AntibodySystem,Китай> |
| Каталожный номер | RHB26402 |
| Название антигена | Nucleophosmin 3 (NPM3) |
| UNIPROT | O75607 |
| Английские синонимы | PORMIN, TMEM123, Nucleophosmin/Nucleoplasmin 3 |
Реактивность подтвержденная Нужна другая реактивность? |
человек, мышь |
| Источник (хозяин) | мышь |
| Изотип | IgG1 |
| Клональность | моноклональное |
| Клон | R2V82 |
| Рекомбинантное | да |
| Готовое к использованию | нет |
| Концентрация | 1 мг/мл |
| Конъюгат | нет |
| Валидировано для | ELISA FCM IF IHC Иммуноферментный анализ; Проточная цитометрия; Иммунофлуоресценция; Иммуногистохимия |
| Рекомендуемые разведения | ELISA: 1:10000, FCM: 1:200-1:400, IF: 1:50-1:200, IHC: 1:200-1:1000 |
| Метод очистки | Очистка с белками A/G из супернатанта клеточной культуры |
| Чистота | >95% |
| Состав буфера | 0.01M PBS, pH 7.4, 0.05% натрия азид |
| Условия доставки | термобокс с аккумуляторами холода |
| Условия хранения | Хранить при 4°C не более 1-2 недель. Хранить при -20°C - 12 месяцев |
| Срок хранения | 12 месяцев |
| Производитель | AntibodySystem |
| Ссылка на страницу товара на сайте производителя | https://www.antibodysystem.com/product/34269.html |
|
Артикул
|
Наименование |
Производитель
|
|---|
|
Артикул
|
Наименование |
Производитель
|
|---|
Акции и предложения
Популярные продукты:
Canine Hyaluronidase 2 ELISA kit (E08H1414)
Организм: собака
Recombinant Streptococcus pyogenes M protein type 1 Protein, N-His (YXX21705)
Источник (хозяин): E.coli
Организм: бактерии
Фрагмент: Asn42-Ala91
Теги: N-His
Биоактивность: нет
Организм: бактерии
Фрагмент: Asn42-Ala91
Теги: N-His
Биоактивность: нет
Anti-NPM3 Antibody (R2V82) (RHB26402)
Источник (хозяин): мышь
Реактивность подтвержденная: человек, мышь
Валидировано для: ELISA, FCM, IF, IHC
Реактивность подтвержденная: человек, мышь
Валидировано для: ELISA, FCM, IF, IHC
Anti-BAX Antibody (R2D11) (RHG13207)
Источник (хозяин): кролик
Реактивность подтвержденная: человек, мышь, крыса
Валидировано для: IHC, IP, WB
Реактивность подтвержденная: человек, мышь, крыса
Валидировано для: IHC, IP, WB
TGF β Receptor I Polyclonal Antibody (E-AB-70130)
Источник (хозяин): кролик
Реактивность подтвержденная: человек, мышь, крыса
Валидировано для: WB
Реактивность подтвержденная: человек, мышь, крыса
Валидировано для: WB
KCNN3 Polyclonal Antibody (E-AB-18172)
Источник (хозяин): кролик
Реактивность подтвержденная: человек, мышь, крыса
Валидировано для: IHC
Реактивность подтвержденная: человек, мышь, крыса
Валидировано для: IHC

