| UNIPROT | Q9Y4C0 |
Anti-NRXN3 Antibody (R4D37) (RHP09401)
Реактивность подтвержденная:
человек
Источник (хозяин):
мышь
Валидировано для:
IHC
Характеристики
Техническое описание
| Русское название | RHP09401 Моноклональное антитело к NRXN3 (R4D37) <AntibodySystem,Китай> |
| Каталожный номер | RHP09401 |
| Название антигена | Neurexin 3 (NRXN3) |
| UNIPROT | Q9Y4C0 |
| Английские синонимы | C14orf60 |
Реактивность подтвержденная Нужна другая реактивность? |
человек |
| Источник (хозяин) | мышь |
| Изотип | IgG1 |
| Клональность | моноклональное |
| Клон | R4D37 |
| Рекомбинантное | да |
| Готовое к использованию | нет |
| Концентрация | 1 мг/мл |
| Конъюгат | нет |
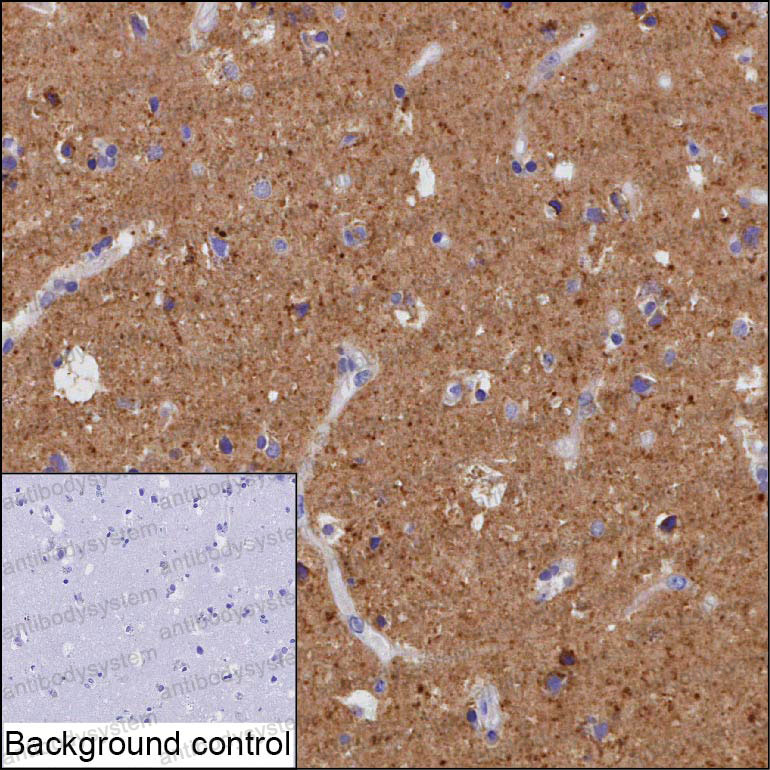
| Валидировано для | IHC Иммуногистохимия |
| Рекомендуемые разведения | IHC: 1:20-1:100 |
| Метод очистки | Очистка с белками A/G из супернатанта клеточной культуры |
| Чистота | >95% |
| Состав буфера | 0.01M PBS, pH 7.4, 0.05% натрия азид |
| Условия хранения | Хранить при 4°C не более 1-2 недель. Хранить при -20°C - 12 месяцев |
| Срок хранения | 12 месяцев |
| Производитель | AntibodySystem |
| Ссылка на страницу товара на сайте производителя | https://www.antibodysystem.com/product/37391.html |
|
Артикул
|
Наименование |
Производитель
|
|---|
|
Артикул
|
Наименование |
Производитель
|
|---|
Акции и предложения
Популярные продукты:
Monkey Prefoldin subunit 2(PFDN2) ELISA kit (E09P0762)
Организм: обезьяна
Anti-ALDH1A2 Polyclonal Antibody (PHB43701)
Источник (хозяин): кролик
Реактивность подтвержденная: человек, мышь, крыса
Валидировано для: ELISA, IHC, WB
Реактивность подтвержденная: человек, мышь, крыса
Валидировано для: ELISA, IHC, WB
Recombinant WEEV Spike glycoprotein E1 Protein, N-His (YVV34402)
Источник (хозяин): E.coli
Организм: вирусы
Фрагмент: Ile810-Asn1205
Теги: N-His
Биоактивность: нет
Организм: вирусы
Фрагмент: Ile810-Asn1205
Теги: N-His
Биоактивность: нет
Recombinant Human REG1B Protein, N-His (YHE56801)
Источник (хозяин): E.coli
Организм: человек
Фрагмент: Gln23-Asn166
Теги: N-His
Биоактивность: нет
Организм: человек
Фрагмент: Gln23-Asn166
Теги: N-His
Биоактивность: нет
Anti-NRXN3 Antibody (R4D37) (RHP09401)
Источник (хозяин): мышь
Реактивность подтвержденная: человек
Валидировано для: IHC
Реактивность подтвержденная: человек
Валидировано для: IHC
IKBKE Polyclonal Antibody (E-AB-64924)
Источник (хозяин): кролик
Реактивность подтвержденная: человек, мышь, крыса
Валидировано для: IHC, WB
Реактивность подтвержденная: человек, мышь, крыса
Валидировано для: IHC, WB

