| UNIPROT | Q96PE5 |
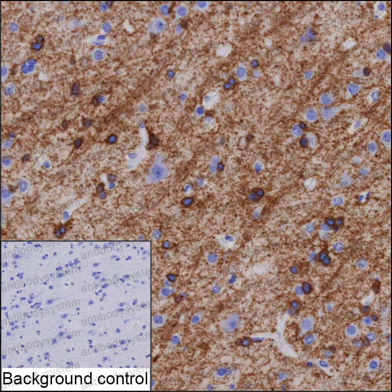
Anti-OPALIN Antibody (R4D12) (RHP07101)
Реактивность подтвержденная:
человек
Источник (хозяин):
мышь
Валидировано для:
IHC
Характеристики
Техническое описание
| Русское название | RHP07101 Моноклональное антитело к OPALIN (R4D12) <AntibodySystem,Китай> |
| Каталожный номер | RHP07101 |
| Название антигена | Oligodendrocytic Myelin Paranodal And Inner Loop Protein (OPALIN) |
| UNIPROT | Q96PE5 |
| Английские синонимы | TMEM10, HTMP10, TMP10, Transmembrane Protein 10 |
Реактивность подтвержденная Нужна другая реактивность? |
человек |
| Источник (хозяин) | мышь |
| Изотип | IgG1 |
| Клональность | моноклональное |
| Клон | R4D12 |
| Рекомбинантное | да |
| Готовое к использованию | нет |
| Концентрация | 1 мг/мл |
| Конъюгат | нет |
| Валидировано для | IHC Иммуногистохимия |
| Рекомендуемые разведения | IHC: 1:100-1:200 |
| Метод очистки | Очистка с белками A/G из супернатанта клеточной культуры |
| Чистота | >95% |
| Состав буфера | 0.01M PBS, pH 7.4, 0.05% натрия азид |
| Условия хранения | Хранить при 4°C не более 1-2 недель. Хранить при -20°C - 12 месяцев |
| Срок хранения | 12 месяцев |
| Производитель | AntibodySystem |
| Ссылка на страницу товара на сайте производителя | https://www.antibodysystem.com/product/37366.html |
Акции и предложения
Популярные продукты:
Rat ATP dependent RNA helicase DDX25(DDX25) ELISA kit (E02A1830)
Организм: крыса
Rat Protein BTG3(BTG3) ELISA kit (E02P0800)
Организм: крыса
Human Cylicin 1(CYLC1) ELISA kit (E01C2220)
Организм: человек
Monkey Cylicin 2(CYLC2) ELISA kit (E09C2221)
Организм: обезьяна
Bovine Adenosine Monophosphate ELISA kit (E11A0018)
Организм: корова

