| UNIPROT | P07237 |
Anti-P4HB Antibody (R3A09) (RHC24103)
Реактивность подтвержденная:
человек
Источник (хозяин):
мышь
Валидировано для:
ELISA
FCM
IHC
WB
Характеристики
Техническое описание
| Русское название | RHC24103 Моноклональное антитело к P4HB (R3A09) <AntibodySystem,Китай> |
| Каталожный номер | RHC24103 |
| Название антигена | Protein Disulfide Isomerase (PDI) |
| UNIPROT | P07237 |
| Английские синонимы | P4HB, ERBA2L, PDIA1, PO4DB, PROHB, DSI, GIT, PDI, PO4HB, P4Hbeta, Prolyl 4-Hydroxylase Subunit Beta, Procollagen-Proline 2-Oxoglutarate 4-Dioxygenase Beta Polypeptide |
Реактивность подтвержденная Нужна другая реактивность? |
человек |
| Источник (хозяин) | мышь |
| Изотип | IgG2a |
| Клональность | моноклональное |
| Клон | R3A09 |
| Рекомбинантное | да |
| Готовое к использованию | нет |
| Концентрация | 1 мг/мл |
| Конъюгат | нет |
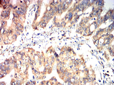
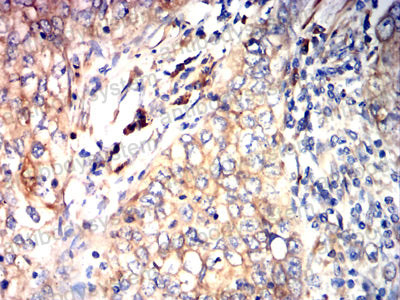
| Валидировано для | ELISA FCM IHC WB Иммуноферментный анализ; Проточная цитометрия; Иммуногистохимия; Вестерн-блоттинг |
| Рекомендуемые разведения | ELISA: 1:10000, FCM: 1:200-1:400, IHC: 1:200-1:1000, WB: 1:500-1:2000 |
| Метод очистки | Очистка с белками A/G из супернатанта клеточной культуры |
| Чистота | >95% |
| Состав буфера | 0.01M PBS, pH 7.4, 0.05% натрия азид |
| Условия доставки | термобокс с аккумуляторами холода |
| Условия хранения | Хранить при 4°C не более 1-2 недель. Хранить при -20°C - 12 месяцев |
| Срок хранения | 12 месяцев |
| Производитель | AntibodySystem |
| Ссылка на страницу товара на сайте производителя | https://www.antibodysystem.com/product/34691.html |
|
Артикул
|
Наименование |
Производитель
|
|---|
|
Артикул
|
Наименование |
Производитель
|
|---|
|
Артикул
|
Наименование |
Производитель
|
|---|
|
Артикул
|
Наименование |
Производитель
|
|---|
Акции и предложения
Популярные продукты:
Carboxylesterase (CES) Activity Colorimetric Assay Kit (E-BC-K579-M)
Организм: для всех
Диапазон определения: 0.3-168.4 Ед/л
Чувствительность: 0.3 Ед/л
Диапазон определения: 0.3-168.4 Ед/л
Чувствительность: 0.3 Ед/л
Anti-Vitamin D Binding Protein (DBP) Polyclonal Antibody (FAB810Mu01)
Источник (хозяин): кролик
Реактивность подтвержденная: мышь
Валидировано для: FCM
Реактивность подтвержденная: мышь
Валидировано для: FCM
ELISA Kit DIY Materials for Monocyte Chemotactic Protein 2 (MCP2) (KSA088Hu01)
Организм: человек
Диапазон определения: 15.6-1000 пг/мл
Чувствительность: 6.4 пг/мл
Диапазон определения: 15.6-1000 пг/мл
Чувствительность: 6.4 пг/мл
ELISA Kit DIY Materials for Tumor Necrosis Factor Beta (TNFb) (KSA134Hu01)
Организм: человек
Диапазон определения: 15.6-1000 пг/мл
Чувствительность: 5.8 пг/мл
Диапазон определения: 15.6-1000 пг/мл
Чувствительность: 5.8 пг/мл
Porcine 14-3-3 protein beta/alpha(YWHAB) ELISA kit (E07Y0004)
Организм: свинья
Sheep Calponin 2(CNN2) ELISA kit (E14C1854)
Организм: овца

