| UNIPROT | P07237 |
Anti-P4HB Antibody (R3A10) (RHC24104)
Реактивность подтвержденная:
человек
Источник (хозяин):
мышь
Валидировано для:
ELISA
FCM
IF
IHC
WB
Характеристики
Техническое описание
| Русское название | RHC24104 Моноклональное антитело к P4HB (R3A10) <AntibodySystem,Китай> |
| Каталожный номер | RHC24104 |
| Название антигена | Protein Disulfide Isomerase (PDI) |
| UNIPROT | P07237 |
| Английские синонимы | P4HB, ERBA2L, PDIA1, PO4DB, PROHB, DSI, GIT, PDI, PO4HB, P4Hbeta, Prolyl 4-Hydroxylase Subunit Beta, Procollagen-Proline 2-Oxoglutarate 4-Dioxygenase Beta Polypeptide |
Реактивность подтвержденная Нужна другая реактивность? |
человек |
| Источник (хозяин) | мышь |
| Изотип | IgG2a |
| Клональность | моноклональное |
| Клон | R3A10 |
| Рекомбинантное | да |
| Готовое к использованию | нет |
| Концентрация | 1 мг/мл |
| Конъюгат | нет |
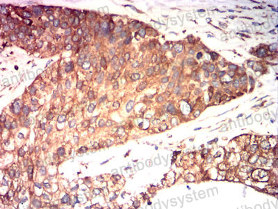
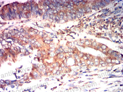
| Валидировано для | ELISA FCM IF IHC WB Иммуноферментный анализ; Проточная цитометрия; Иммунофлуоресценция; Иммуногистохимия; Вестерн-блоттинг |
| Рекомендуемые разведения | ELISA: 1:10000, FCM: 1:200-1:400, IF: 1:200-1:1000, IHC: 1:200-1:1000, WB: 1:500-1:2000 |
| Метод очистки | Очистка с белками A/G из супернатанта клеточной культуры |
| Чистота | >95% |
| Состав буфера | 0.01M PBS, pH 7.4, 0.05% натрия азид |
| Условия доставки | термобокс с аккумуляторами холода |
| Условия хранения | Хранить при 4°C не более 1-2 недель. Хранить при -20°C - 12 месяцев |
| Срок хранения | 12 месяцев |
| Производитель | AntibodySystem |
| Ссылка на страницу товара на сайте производителя | https://www.antibodysystem.com/product/34692.html |
|
Артикул
|
Наименование |
Производитель
|
|---|
|
Артикул
|
Наименование |
Производитель
|
|---|
|
Артикул
|
Наименование |
Производитель
|
|---|
|
Артикул
|
Наименование |
Производитель
|
|---|
Акции и предложения
Популярные продукты:
Monoclonal Antibody to Lymphatic Vessel Endothelial Hyaluronan Receptor 1 (LYVE1) (MAH848Hu26)
Источник (хозяин): мышь
Реактивность подтвержденная: человек
Валидировано для: WB
Реактивность подтвержденная: человек
Валидировано для: WB
Chicken Calponin 2(CNN2) ELISA kit (E12C1854)
Организм: курица
Canine Calponin 2(CNN2) ELISA kit (E08C1854)
Организм: собака
Monkey ARF GTPase activating protein GIT1(GIT1) ELISA kit (E09A1874)
Организм: обезьяна
Goat Cadherin 18(CDH18) ELISA kit (E06C1539)
Организм: коза
Sheep Anoctamin 8(ANO8) ELISA kit (E14A1534)
Организм: овца

