| UNIPROT | Q06710 |
Anti-PAX8 Antibody (R3R40) (RHG10007)
Реактивность подтвержденная:
человек
Источник (хозяин):
мышь
Валидировано для:
ELISA
FCM
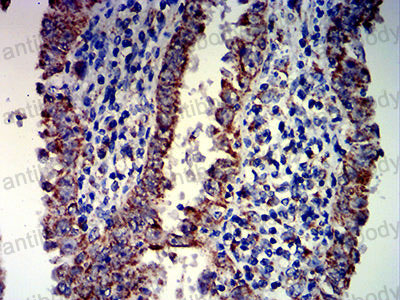
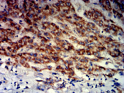
IHC
WB
Характеристики
Техническое описание
| Русское название | RHG10007 Моноклональное антитело к PAX8 (R3R40) <AntibodySystem,Китай> |
| Каталожный номер | RHG10007 |
| Название антигена | Paired Box Gene 8 (PAX8) |
| UNIPROT | Q06710 |
Реактивность подтвержденная Нужна другая реактивность? |
человек |
| Источник (хозяин) | мышь |
| Изотип | IgG1 |
| Клональность | моноклональное |
| Клон | R3R40 |
| Рекомбинантное | да |
| Готовое к использованию | нет |
| Концентрация | 1 мг/мл |
| Конъюгат | нет |
| Валидировано для | ELISA FCM IHC WB Иммуноферментный анализ; Проточная цитометрия; Иммуногистохимия; Вестерн-блоттинг |
| Рекомендуемые разведения | ELISA: 1:10000, FCM: 1:200-1:400, IHC: 1:200-1:1000, WB: 1:500-1:2000 |
| Метод очистки | Очистка с белками A/G из супернатанта клеточной культуры |
| Чистота | >95% |
| Состав буфера | 0.01M PBS, pH 7.4, 0.05% натрия азид |
| Условия хранения | Хранить при 4°C не более 1-2 недель. Хранить при -20°C - 12 месяцев |
| Срок хранения | 12 месяцев |
| Производитель | AntibodySystem |
| Ссылка на страницу товара на сайте производителя | https://www.antibodysystem.com/product/36206.html |
|
Артикул
|
Наименование |
Производитель
|
|---|
|
Артикул
|
Наименование |
Производитель
|
|---|
Акции и предложения
Популярные продукты:
Canine Argininosuccinate lyase(ASL) ELISA kit (E08A1722)
Организм: собака
Porcine Cystatin F(CST7) ELISA kit (E07C2126)
Организм: свинья
Rat Transcobalamin II ELISA kit (E02T0753)
Организм: крыса
Mouse Crumbs homolog 1(CRB1) ELISA kit (E03C2038)
Организм: мышь
Porcine Cysteine rich protein 2(CRIP2) ELISA kit (E07C2060)
Организм: свинья
Sheep Cytohesin 1 ELISA kit (E14C0479)
Организм: овца

