| UNIPROT | P08559 |
Anti-PDHA1 Antibody (R3A92) (RHC33503)
Реактивность подтвержденная:
человек, мышь, крыса
Источник (хозяин):
мышь
Валидировано для:
ELISA
FCM
IF
IHC
WB
Характеристики
Техническое описание
| Русское название | RHC33503 Моноклональное антитело к PDHA1 (R3A92) <AntibodySystem,Китай> |
| Каталожный номер | RHC33503 |
| Название антигена | Pyruvate Dehydrogenase Alpha (PDHa) |
| UNIPROT | P08559 |
| Английские синонимы | PDHCE1A, PHE1A, PHE1-A, PDHA1, PDH-A, Pyruvate Dehydrogenase(lipoamide)Alpha 1, Pyruvate Dehydrogenase E1 Component Subunit Alpha,Aomatic Form,Mitochondrial |
Реактивность подтвержденная Нужна другая реактивность? |
человек, мышь, крыса |
| Источник (хозяин) | мышь |
| Изотип | IgG2a |
| Клональность | моноклональное |
| Клон | R3A92 |
| Рекомбинантное | да |
| Готовое к использованию | нет |
| Концентрация | 1 мг/мл |
| Конъюгат | нет |
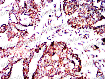
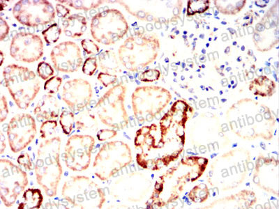
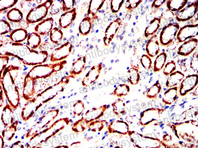
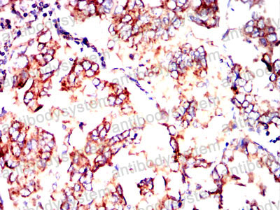
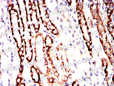
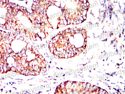
| Валидировано для | ELISA FCM IF IHC WB Иммуноферментный анализ; Проточная цитометрия; Иммунофлуоресценция; Иммуногистохимия; Вестерн-блоттинг |
| Рекомендуемые разведения | ELISA: 1:10000, FCM: 1:200-1:400, IF: 1:50-1:200, IHC: 1:200-1:1000, WB: 1:500-1:2000 |
| Метод очистки | Очистка с белками A/G из супернатанта клеточной культуры |
| Чистота | >95% |
| Состав буфера | 0.01M PBS, pH 7.4, 0.05% натрия азид |
| Условия доставки | термобокс с аккумуляторами холода |
| Условия хранения | Хранить при 4°C не более 1-2 недель. Хранить при -20°C - 12 месяцев |
| Срок хранения | 12 месяцев |
| Производитель | AntibodySystem |
| Ссылка на страницу товара на сайте производителя | https://www.antibodysystem.com/product/34774.html |
|
Артикул
|
Наименование |
Производитель
|
|---|
|
Артикул
|
Наименование |
Производитель
|
|---|
|
Артикул
|
Наименование |
Производитель
|
|---|
|
Артикул
|
Наименование |
Производитель
|
|---|
|
Артикул
|
Наименование |
Производитель
|
|---|
Акции и предложения
Популярные продукты:
Goat Mitofusin 1 ELISA kit (E06M1101)
Организм: коза
Rat Caspase 14 ELISA kit (E02C0386)
Организм: крыса
Anti-Mouse CTSH Polyclonal Antibody (PMC42801)
Источник (хозяин): кролик
Реактивность подтвержденная: мышь
Валидировано для: ELISA, IHC, WB
Реактивность подтвержденная: мышь
Валидировано для: ELISA, IHC, WB
Recombinant Human NPRL2 Protein, N-His (YHK49001)
Источник (хозяин): E.coli
Организм: человек
Фрагмент: Arg6-Glu161
Теги: N-His
Биоактивность: нет
Организм: человек
Фрагмент: Arg6-Glu161
Теги: N-His
Биоактивность: нет
Anti-PDHA1 Antibody (R3A92) (RHC33503)
Источник (хозяин): мышь
Реактивность подтвержденная: человек, мышь, крыса
Валидировано для: ELISA, FCM, IF, IHC, WB
Реактивность подтвержденная: человек, мышь, крыса
Валидировано для: ELISA, FCM, IF, IHC, WB

