| UNIPROT | P08559 |
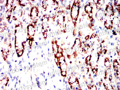
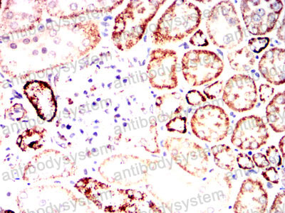
Anti-PDHA1 Antibody (R3A93) (RHC33504)
Реактивность подтвержденная:
человек, мышь, крыса
Источник (хозяин):
мышь
Валидировано для:
ELISA
FCM
IF
IHC
IP
WB
Характеристики
Техническое описание
| Русское название | RHC33504 Моноклональное антитело к PDHA1 (R3A93) <AntibodySystem,Китай> |
| Каталожный номер | RHC33504 |
| Название антигена | Pyruvate Dehydrogenase Alpha (PDHa) |
| UNIPROT | P08559 |
| Английские синонимы | PDHCE1A, PHE1A, PHE1-A, PDHA1, PDH-A, Pyruvate Dehydrogenase(lipoamide)Alpha 1, Pyruvate Dehydrogenase E1 Component Subunit Alpha,Aomatic Form,Mitochondrial |
Реактивность подтвержденная Нужна другая реактивность? |
человек, мышь, крыса |
| Источник (хозяин) | мышь |
| Изотип | IgG1 |
| Клональность | моноклональное |
| Клон | R3A93 |
| Рекомбинантное | да |
| Готовое к использованию | нет |
| Концентрация | 1 мг/мл |
| Конъюгат | нет |
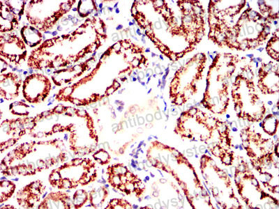
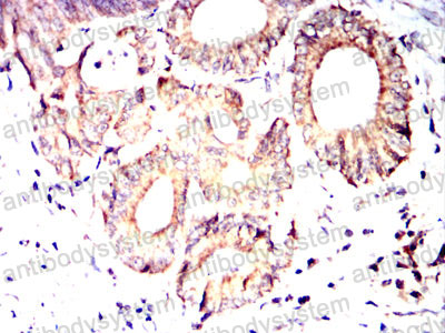
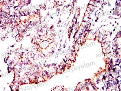
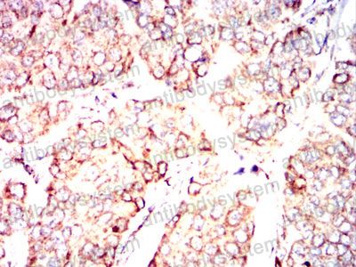
| Валидировано для | ELISA FCM IF IHC IP WB Иммуноферментный анализ; Проточная цитометрия; Иммунофлуоресценция; Иммуногистохимия; Иммунопреципитация; Вестерн-блоттинг |
| Рекомендуемые разведения | ELISA: 1:10000, FCM: 1:200-1:400, IF: 1:50-1:200, IHC: 1:200-1:1000, IP: 1:200-1:300, WB: 1:500-1:2000 |
| Метод очистки | Очистка с белками A/G из супернатанта клеточной культуры |
| Чистота | >95% |
| Состав буфера | 0.01M PBS, pH 7.4, 0.05% натрия азид |
| Условия доставки | термобокс с аккумуляторами холода |
| Условия хранения | Хранить при 4°C не более 1-2 недель. Хранить при -20°C - 12 месяцев |
| Срок хранения | 12 месяцев |
| Производитель | AntibodySystem |
| Ссылка на страницу товара на сайте производителя | https://www.antibodysystem.com/product/34775.html |
|
Артикул
|
Наименование |
Производитель
|
|---|
|
Артикул
|
Наименование |
Производитель
|
|---|
|
Артикул
|
Наименование |
Производитель
|
|---|
|
Артикул
|
Наименование |
Производитель
|
|---|
|
Артикул
|
Наименование |
Производитель
|
|---|
Акции и предложения
Популярные продукты:
Rabbit Arginyl tRNA protein transferase 1(ATE1) ELISA kit (E04A1077)
Организм: кролик
Goat Calreticulin 3(CALR3) ELISA kit (E06C1330)
Организм: коза
Mouse Cortexin 1(CTXN1) ELISA kit (E03C2175)
Организм: мышь
Sheep Dihydrofolate reductase(DHFR) ELISA kit (E14D0284)
Организм: овца
Chicken Dihydrofolate reductase(DHFR) ELISA kit (E12D0284)
Организм: курица
Monkey Dihydrofolate reductase(DHFR) ELISA kit (E09D0284)
Организм: обезьяна

