| UNIPROT | O00764 |
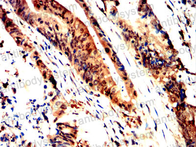
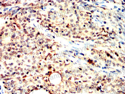
Anti-PDXK Antibody (R2T66) (RHA19201)
Реактивность подтвержденная:
человек, мышь
Источник (хозяин):
мышь
Валидировано для:
FCM
IF
IHC
WB
Характеристики
Техническое описание
| Русское название | RHA19201 Моноклональное антитело к PDXK (R2T66) <AntibodySystem,Китай> |
| Каталожный номер | RHA19201 |
| Название антигена | Pyridoxal Kinase (PDXK) |
| UNIPROT | O00764 |
| Английские синонимы | PKH, PNK, C21orf124, C21orf97, PRED79, Pyridoxine Kinase, Vitamin B6 Kinase |
Реактивность подтвержденная Нужна другая реактивность? |
человек, мышь |
| Источник (хозяин) | мышь |
| Изотип | IgG1 |
| Клональность | моноклональное |
| Клон | R2T66 |
| Рекомбинантное | да |
| Готовое к использованию | нет |
| Концентрация | 1 мг/мл |
| Конъюгат | нет |
| Валидировано для | FCM IF IHC WB Проточная цитометрия; Иммунофлуоресценция; Иммуногистохимия; Вестерн-блоттинг |
| Рекомендуемые разведения | FCM: 1:200-1:400, IF: 1:50-1:200, IHC: 1:200-1:1000, WB: 1:500-1:2000 |
| Метод очистки | Очистка с белками A/G из супернатанта клеточной культуры |
| Чистота | >95% |
| Состав буфера | 0.01M PBS, pH 7.4, 0.05% натрия азид |
| Условия доставки | термобокс с аккумуляторами холода |
| Условия хранения | Хранить при 4°C не более 1-2 недель. Хранить при -20°C - 12 месяцев |
| Срок хранения | 12 месяцев |
| Производитель | AntibodySystem |
| Ссылка на страницу товара на сайте производителя | https://www.antibodysystem.com/product/34055.html |
|
Артикул
|
Наименование |
Производитель
|
|---|
|
Артикул
|
Наименование |
Производитель
|
|---|
|
Артикул
|
Наименование |
Производитель
|
|---|
|
Артикул
|
Наименование |
Производитель
|
|---|
Акции и предложения
Популярные продукты:
ELISA Kit DIY Materials for Cytokeratin 13 (CK13) (KSB875Hu01)
Организм: человек
Диапазон определения: 15.6-1000 пг/мл
Чувствительность: 6.2 пг/мл
Диапазон определения: 15.6-1000 пг/мл
Чувствительность: 6.2 пг/мл
Rabbit interleukin 1 receptorⅠ ELISA kit (E04I0366)
Организм: кролик
Anti-PDXK Antibody (R2T66) (RHA19201)
Источник (хозяин): мышь
Реактивность подтвержденная: человек, мышь
Валидировано для: FCM, IF, IHC, WB
Реактивность подтвержденная: человек, мышь
Валидировано для: FCM, IF, IHC, WB
P2RY11 Polyclonal Antibody (E-AB-19310)
Источник (хозяин): кролик
Реактивность подтвержденная: человек
Валидировано для: IHC, WB
Реактивность подтвержденная: человек
Валидировано для: IHC, WB
F11R Polyclonal Antibody (E-AB-68286)
Источник (хозяин): кролик
Реактивность подтвержденная: человек, мышь, крыса
Валидировано для: IHC, WB
Реактивность подтвержденная: человек, мышь, крыса
Валидировано для: IHC, WB
F11R Polyclonal Antibody (E-AB-19216)
Источник (хозяин): кролик
Реактивность подтвержденная: человек
Валидировано для: IHC
Реактивность подтвержденная: человек
Валидировано для: IHC

