| UNIPROT | P56645 |
Anti-PER3 Antibody (R3N57) (RHF18201)
Реактивность подтвержденная:
человек
Источник (хозяин):
мышь
Валидировано для:
ELISA
FCM
IF
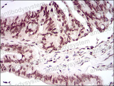
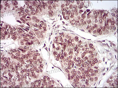
IHC
Характеристики
Техническое описание
| Русское название | RHF18201 Моноклональное антитело к PER3 (R3N57) <AntibodySystem,Китай> |
| Каталожный номер | RHF18201 |
| Название антигена | Period Circadian Protein 3 (PER3) |
| UNIPROT | P56645 |
| Английские синонимы | GIG13, Cell growth-inhibiting gene 13 protein, Circadian clock protein PERIOD 3 |
Реактивность подтвержденная Нужна другая реактивность? |
человек |
| Источник (хозяин) | мышь |
| Изотип | IgG2b |
| Клональность | моноклональное |
| Клон | R3N57 |
| Рекомбинантное | да |
| Готовое к использованию | нет |
| Концентрация | 1 мг/мл |
| Конъюгат | нет |
| Валидировано для | ELISA FCM IF IHC Иммуноферментный анализ; Проточная цитометрия; Иммунофлуоресценция; Иммуногистохимия |
| Рекомендуемые разведения | ELISA: 1:10000, FCM: 1:200-1:400, IF: 1:200-1:1000, IHC: 1:200-1:1000 |
| Метод очистки | Очистка с белками A/G из супернатанта клеточной культуры |
| Чистота | >95% |
| Состав буфера | 0.01M PBS, pH 7.4, 0.05% натрия азид |
| Условия хранения | Хранить при 4°C не более 1-2 недель. Хранить при -20°C - 12 месяцев |
| Срок хранения | 12 месяцев |
| Производитель | AntibodySystem |
| Ссылка на страницу товара на сайте производителя | https://www.antibodysystem.com/product/35927.html |
|
Артикул
|
Наименование |
Производитель
|
|---|
|
Артикул
|
Наименование |
Производитель
|
|---|
Акции и предложения
Популярные продукты:
ALDH3A2 Mouse Monoclonal Antibody (BF8581)
Источник (хозяин): мышь
Реактивность подтвержденная: человек, мышь
Валидировано для: WB
Реактивность подтвержденная: человек, мышь
Валидировано для: WB
Anti-Clobetasol Propionate/CBP Monoclonal Antibody (1A488) (MGK61509)
Источник (хозяин): мышь
Реактивность подтвержденная: для всех
Валидировано для: ELISA
Реактивность подтвержденная: для всех
Валидировано для: ELISA
ELISA Kit DIY Materials for Twist Transcription Factor (TWIST) (KSC838Hu01)
Организм: человек
Диапазон определения: 0.156-10 нг/мл
Чувствительность: 0.057 нг/мл
Диапазон определения: 0.156-10 нг/мл
Чувствительность: 0.057 нг/мл
Canine Apoptosis stimulating of p53 protein 1 ELISA kit (E08A1946)
Организм: собака
Rabbit Dysferlin ELISA kit (E04D0325)
Организм: кролик
Rat Doublecortin ELISA kit (E02D0148)
Организм: крыса

