| UNIPROT | P06401 |
Anti-PGR Antibody (R2Z66) (RHC20002)
Реактивность подтвержденная:
человек
Источник (хозяин):
мышь
Валидировано для:
IHC
Характеристики
Техническое описание
| Русское название | RHC20002 Моноклональное антитело к PGR (R2Z66) <AntibodySystem,Китай> |
| Каталожный номер | RHC20002 |
| Название антигена | Progesterone Receptor (PGR) |
| UNIPROT | P06401 |
| Английские синонимы | NR3C3, PR, Nuclear Receptor Subfamily 3,Group C,Member 3 |
Реактивность подтвержденная Нужна другая реактивность? |
человек |
| Источник (хозяин) | мышь |
| Изотип | IgG1 |
| Клональность | моноклональное |
| Клон | R2Z66 |
| Рекомбинантное | да |
| Готовое к использованию | нет |
| Концентрация | 1 мг/мл |
| Конъюгат | нет |
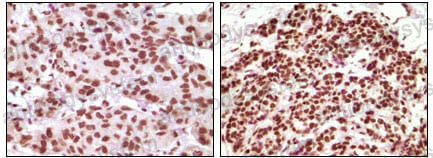
| Валидировано для | IHC Иммуногистохимия |
| Рекомендуемые разведения | IHC: 1:200-1:1000 |
| Метод очистки | Очистка с белками A/G из супернатанта клеточной культуры |
| Чистота | >95% |
| Состав буфера | 0.01M PBS, pH 7.4, 0.05% натрия азид |
| Условия доставки | термобокс с аккумуляторами холода |
| Условия хранения | Хранить при 4°C не более 1-2 недель. Хранить при -20°C - 12 месяцев |
| Срок хранения | 12 месяцев |
| Производитель | AntibodySystem |
| Ссылка на страницу товара на сайте производителя | https://www.antibodysystem.com/product/34649.html |
|
Артикул
|
Наименование |
Производитель
|
|---|
|
Артикул
|
Наименование |
Производитель
|
|---|
|
Артикул
|
Наименование |
Производитель
|
|---|
|
Артикул
|
Наименование |
Производитель
|
|---|
|
Артикул
|
Наименование |
Производитель
|
|---|
|
Артикул
|
Наименование |
Производитель
|
|---|
|
Артикул
|
Наименование |
Производитель
|
|---|
Акции и предложения
Популярные продукты:
Anti-FOXP3 Antibody (R3W27) (RHJ52504)
Источник (хозяин): мышь
Реактивность подтвержденная: человек
Валидировано для: IF, WB
Реактивность подтвержденная: человек
Валидировано для: IF, WB
Ubiquitin K63 Recombinant Rabbit mAb (ARM2406)
Источник (хозяин): кролик
Реактивность подтвержденная: человек, мышь, крыса
Валидировано для: FCM, IHC, WB, IF, ICC
Реактивность подтвержденная: человек, мышь, крыса
Валидировано для: FCM, IHC, WB, IF, ICC
Monoclonal Antibody to Perillaldehyde (PA) (MAV865Ge21)
Источник (хозяин): мышь
Реактивность подтвержденная: для всех
Валидировано для: ELISA
Реактивность подтвержденная: для всех
Валидировано для: ELISA
Rat F box/LRR repeat protein 2(FBXL2) ELISA kit (E02F0319)
Организм: крыса
Rat Alcohol dehydrogenase 6(ADH6) ELISA kit (E02A1270)
Организм: крыса

