| UNIPROT | P06401 |
Anti-PGR Antibody (R2Z69) (RHC20005)
Реактивность подтвержденная:
человек, мышь, крыса
Источник (хозяин):
мышь
Валидировано для:
IF
IHC
Характеристики
Техническое описание
| Русское название | RHC20005 Моноклональное антитело к PGR (R2Z69) <AntibodySystem,Китай> |
| Каталожный номер | RHC20005 |
| Название антигена | Progesterone Receptor (PGR) |
| UNIPROT | P06401 |
| Английские синонимы | NR3C3, PR, Nuclear Receptor Subfamily 3,Group C,Member 3 |
Реактивность подтвержденная Нужна другая реактивность? |
человек, мышь, крыса |
| Источник (хозяин) | мышь |
| Изотип | IgG1 |
| Клональность | моноклональное |
| Клон | R2Z69 |
| Рекомбинантное | да |
| Готовое к использованию | нет |
| Концентрация | 1 мг/мл |
| Конъюгат | нет |
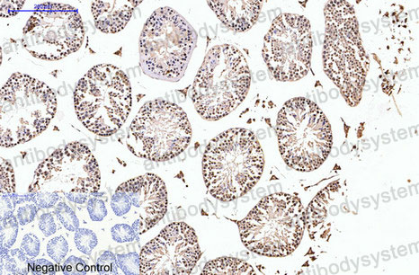
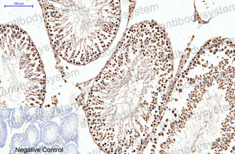
| Валидировано для | IF IHC Иммунофлуоресценция; Иммуногистохимия |
| Рекомендуемые разведения | IF: 1:50-1:200, IHC: 1:50-1:100 |
| Метод очистки | Очистка с белками A/G из супернатанта клеточной культуры |
| Чистота | >95% |
| Состав буфера | 0.01M PBS, pH 7.4, 0.5% БСА, 0.05% натрия азид,50% глицерин |
| Условия доставки | термобокс с аккумуляторами холода |
| Условия хранения | Хранить при 4°C не более 1-2 недель. Хранить при -20°C - 12 месяцев |
| Срок хранения | 12 месяцев |
| Производитель | AntibodySystem |
| Ссылка на страницу товара на сайте производителя | https://www.antibodysystem.com/product/34652.html |
|
Артикул
|
Наименование |
Производитель
|
|---|
|
Артикул
|
Наименование |
Производитель
|
|---|
|
Артикул
|
Наименование |
Производитель
|
|---|
|
Артикул
|
Наименование |
Производитель
|
|---|
|
Артикул
|
Наименование |
Производитель
|
|---|
|
Артикул
|
Наименование |
Производитель
|
|---|
|
Артикул
|
Наименование |
Производитель
|
|---|
Акции и предложения
Популярные продукты:
Mouse Calsyntenin 2(CLSTN2) ELISA kit (E03C1817)
Организм: мышь
Monkey Carboxymethyl lysine ELISA kit (E09C0773)
Организм: обезьяна
Monkey Selenoprotein P1, ELISA kit (E09S0086)
Организм: обезьяна
Rabbit Free cholesterol ELISA kit (E04F0212)
Организм: кролик
Guinea Pig Ribonuclease Inhibitor ELISA kit (E05R0052)
Организм: морская свинка
Rat Ribonuclease Inhibitor ELISA kit (E02R0052)
Организм: крыса

