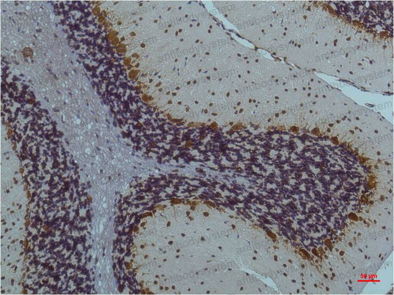
Anti-Phospho-CaMKII (Thr287) Antibody (R3S74) (RHG58303)
Реактивность подтвержденная:
человек, мышь, крыса
Источник (хозяин):
мышь
Валидировано для:
IHC
Характеристики
Техническое описание
| Русское название | RHG58303 Моноклональное антитело к фосфо-CaMKII (Thr287) (R3S74) <AntibodySystem,Китай> |
| Каталожный номер | RHG58303 |
| Название антигена | Calcium/Calmodulin Dependent Protein Kinase II Gamma (CAMK2g) |
| UNIPROT | Q13554, Q13555, Q13557 |
| Английские синонимы | CAMKII, CAMK2G, CAMK, CAMK-II, CAMKG, CaM Kinase, CaM kinase II subunit gamma, CaMK-II subunit gamma |
Реактивность подтвержденная Нужна другая реактивность? |
человек, мышь, крыса |
| Источник (хозяин) | мышь |
| Изотип | IgG1 |
| Клональность | моноклональное |
| Клон | R3S74 |
| Рекомбинантное | да |
| Готовое к использованию | нет |
| Концентрация | 1 мг/мл |
| Конъюгат | нет |
| Валидировано для | IHC Иммуногистохимия |
| Рекомендуемые разведения | IHC: 1:50-1:100 |
| Метод очистки | Очистка с белками A/G из супернатанта клеточной культуры |
| Чистота | >95% |
| Состав буфера | 0.01M PBS, pH 7.4, 0.5% БСА, 0.05% натрия азид,50% глицерин |
| Условия хранения | Хранить при 4°C не более 1-2 недель. Хранить при -20°C - 12 месяцев |
| Срок хранения | 12 месяцев |
| Производитель | AntibodySystem |
| Ссылка на страницу товара на сайте производителя | https://www.antibodysystem.com/product/36339.html |
|
Артикул
|
Наименование |
Производитель
|
|---|
|
Артикул
|
Наименование |
Производитель
|
|---|
|
Артикул
|
Наименование |
Производитель
|
|---|
|
Артикул
|
Наименование |
Производитель
|
|---|
|
Артикул
|
Наименование |
Производитель
|
|---|
|
Артикул
|
Наименование |
Производитель
|
|---|
|
Артикул
|
Наименование |
Производитель
|
|---|
Акции и предложения
Популярные продукты:
Porcine Angiomotin ELISA kit (E07A0223)
Организм: свинья
Monkey Interleukin 31 ELISA kit (E09I0034)
Организм: обезьяна
Диапазон определения: 25-500 пг/мл
Чувствительность: 1 пг/мл
Диапазон определения: 25-500 пг/мл
Чувствительность: 1 пг/мл
Anti-ZEBOV VP40/Matrix protein VP40 Antibody (DSTL094) (RVV28601)
Источник (хозяин): человек
Реактивность подтвержденная: вирусы
Валидировано для: ELISA, WB
Реактивность подтвержденная: вирусы
Валидировано для: ELISA, WB
Anti-Human PBRM1 IP Antibody (SAA0215) (RHJ15601)
Источник (хозяин): мышь
Реактивность подтвержденная: человек
Валидировано для: ELISA, IF, IP
Реактивность подтвержденная: человек
Валидировано для: ELISA, IF, IP
Anti-Phospho-CaMKII (Thr287) Antibody (R3S74) (RHG58303)
Источник (хозяин): мышь
Реактивность подтвержденная: человек, мышь, крыса
Валидировано для: IHC
Реактивность подтвержденная: человек, мышь, крыса
Валидировано для: IHC
Anti-CARD11 Antibody (R2Q55) (RHN70401)
Источник (хозяин): кролик
Реактивность подтвержденная: человек, мышь
Валидировано для: IF, WB
Реактивность подтвержденная: человек, мышь
Валидировано для: IF, WB

