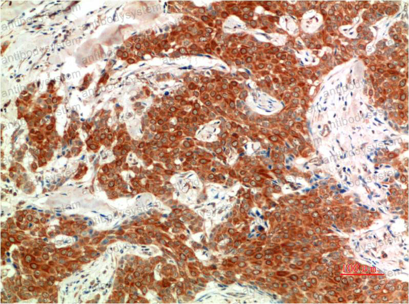
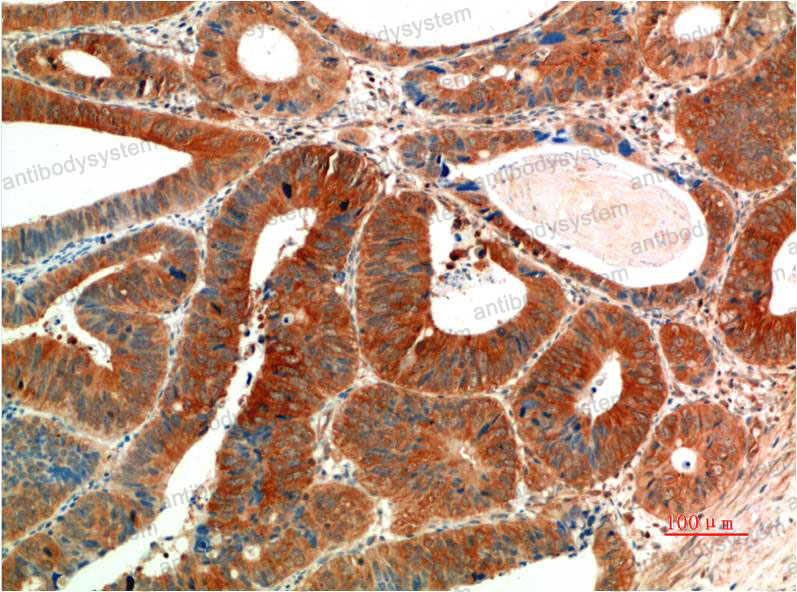
Anti-Phospho-ERK1/2 (Tyr222/Tyr205) Antibody (R3H26) (RHD73611)
Реактивность подтвержденная:
человек, мышь, крыса
Источник (хозяин):
мышь
Валидировано для:
IHC
Характеристики
Техническое описание
| Русское название | RHD73611 Моноклональное антитело к фосфо-ERK1/2 (Tyr222/Tyr205) (R3H26) <AntibodySystem,Китай> |
| Каталожный номер | RHD73611 |
| Название антигена | Extracellular Signal Regulated Kinase 1 (ERK1) |
| UNIPROT | P27361, P28482 |
| Английские синонимы | HS44KDAP, HUMKER1A, P44ERK1, P44MAPK, PRKM3, MAPK3, ERT2, Mitogen-Activated Protein Kinase 3, Insulin-stimulated MAP2 kinase, Microtubule-associated protein 2 kinase |
Реактивность подтвержденная Нужна другая реактивность? |
человек, мышь, крыса |
| Источник (хозяин) | мышь |
| Изотип | IgG1 |
| Клональность | моноклональное |
| Клон | R3H26 |
| Рекомбинантное | да |
| Готовое к использованию | нет |
| Концентрация | 1 мг/мл |
| Конъюгат | нет |
| Валидировано для | IHC Иммуногистохимия |
| Рекомендуемые разведения | IHC: 1:50-1:100 |
| Метод очистки | Очистка с белками A/G из супернатанта клеточной культуры |
| Чистота | >95% |
| Состав буфера | 0.01M PBS, pH 7.4, 0.5% БСА, 0.05% натрия азид,50% глицерин |
| Условия хранения | Хранить при 4°C не более 1-2 недель. Хранить при -20°C - 12 месяцев |
| Срок хранения | 12 месяцев |
| Производитель | AntibodySystem |
| Ссылка на страницу товара на сайте производителя | https://www.antibodysystem.com/product/35401.html |
|
Артикул
|
Наименование |
Производитель
|
|---|
|
Артикул
|
Наименование |
Производитель
|
|---|
|
Артикул
|
Наименование |
Производитель
|
|---|
|
Артикул
|
Наименование |
Производитель
|
|---|
|
Артикул
|
Наименование |
Производитель
|
|---|
|
Артикул
|
Наименование |
Производитель
|
|---|
|
Артикул
|
Наименование |
Производитель
|
|---|
|
Артикул
|
Наименование |
Производитель
|
|---|
|
Артикул
|
Наименование |
Производитель
|
|---|
|
Артикул
|
Наименование |
Производитель
|
|---|
|
Артикул
|
Наименование |
Производитель
|
|---|
|
Артикул
|
Наименование |
Производитель
|
|---|
Акции и предложения
Популярные продукты:
Anti-UBA7 Polyclonal Antibody (PHE31101)
Источник (хозяин): кролик
Реактивность подтвержденная: человек
Валидировано для: ELISA, IHC, WB
Реактивность подтвержденная: человек
Валидировано для: ELISA, IHC, WB
Anti-PHLPVa/Allergen Phl p Va Antibody (SAA0693) (RZZ02705)
Источник (хозяин): человек
Реактивность подтвержденная: растения
Валидировано для: ELISA, SPR
Реактивность подтвержденная: растения
Валидировано для: ELISA, SPR
Anti-PHLPVa/Allergen Phl p Va Antibody (SAA0691) (RZZ02703)
Источник (хозяин): человек
Реактивность подтвержденная: растения
Валидировано для: ELISA, SPR
Реактивность подтвержденная: растения
Валидировано для: ELISA, SPR
Anti-Phospho-ERK1/2 (Tyr222/Tyr205) Antibody (R3H26) (RHD73611)
Источник (хозяин): мышь
Реактивность подтвержденная: человек, мышь, крыса
Валидировано для: IHC
Реактивность подтвержденная: человек, мышь, крыса
Валидировано для: IHC
Anti-Phospho-ERK1/2 (Thr202/Thr185) Antibody (R1T28) (RHD73605)
Источник (хозяин): кролик
Реактивность подтвержденная: человек, крыса
Валидировано для: IP, WB
Реактивность подтвержденная: человек, крыса
Валидировано для: IP, WB

