| UNIPROT | O43524 |
Anti-Phospho-FOXO3 (S253) Antibody (R1C48) (RHA69802)
Реактивность подтвержденная:
человек, мышь, крыса
Источник (хозяин):
кролик
Валидировано для:
IHC
WB
Характеристики
Техническое описание
| Русское название | RHA69802 Моноклональное антитело к фосфо-FOXO3 (S253) (R1C48) <AntibodySystem,Китай> |
| Каталожный номер | RHA69802 |
| Название антигена | Forkhead Box Protein O3 (FOXO3) |
| UNIPROT | O43524 |
| Английские синонимы | FOX-O3, FOX2, FOXO3A, FKHRL1, FKHRL1P2, AF6q21 protein, Forkhead in rhabdomyosarcoma-like 1 |
Реактивность подтвержденная Нужна другая реактивность? |
человек, мышь, крыса |
| Источник (хозяин) | кролик |
| Изотип | IgG |
| Клональность | моноклональное |
| Клон | R1C48 |
| Рекомбинантное | да |
| Готовое к использованию | нет |
| Концентрация | 1 мг/мл |
| Конъюгат | нет |
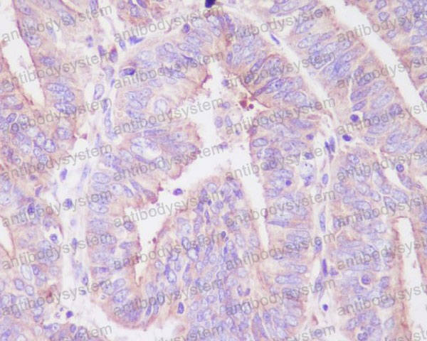
| Валидировано для | IHC WB Иммуногистохимия; Вестерн-блоттинг |
| Рекомендуемые разведения | IHC: 1:100-1:200, WB: 1:1000-1:2000 |
| Метод очистки | Очистка с белками A/G из супернатанта клеточной культуры |
| Чистота | >95% |
| Состав буфера | 0.01M PBS, pH 7.4, 0.05% БСА, 50% глицерин, 0.05% азид натрия |
| Условия доставки | термобокс с аккумуляторами холода |
| Условия хранения | Хранить при -20 С -12 месяцев |
| Срок хранения | 12 месяцев |
| Производитель | AntibodySystem |
| Ссылка на страницу товара на сайте производителя | https://www.antibodysystem.com/product/29852.html |
|
Артикул
|
Наименование |
Производитель
|
|---|
|
Артикул
|
Наименование |
Производитель
|
|---|
|
Артикул
|
Наименование |
Производитель
|
|---|
|
Артикул
|
Наименование |
Производитель
|
|---|
Акции и предложения
Популярные продукты:
Recombinant Human NDUFB7 Protein, N-His-SUMO (YHD24901)
Источник (хозяин): E.coli
Организм: человек
Фрагмент: Ala41-Gly125
Теги: N-His-SUMO
Биоактивность: нет
Организм: человек
Фрагмент: Ala41-Gly125
Теги: N-His-SUMO
Биоактивность: нет
Anti-Mouse CD2 Antibody (SAb2344) (RMC20801)
Источник (хозяин): крыса
Реактивность подтвержденная: мышь
Валидировано для: ELISA
Реактивность подтвержденная: мышь
Валидировано для: ELISA
Monoclonal Antibody to Tumor Necrosis Factor Alpha (TNFa) (MAA133Rb22)
Источник (хозяин): мышь
Реактивность подтвержденная: кролик
Валидировано для: WB
Реактивность подтвержденная: кролик
Валидировано для: WB
Canine PRA1 family protein 3(ARL6IP5) ELISA kit (E08P0795)
Организм: собака
Canine Claspin(CLSPN) ELISA kit (E08C1815)
Организм: собака
Guinea Pig COUP transcription factor 2(NR2F2) ELISA kit (E05C2365)
Организм: морская свинка

