| UNIPROT | P23771 |
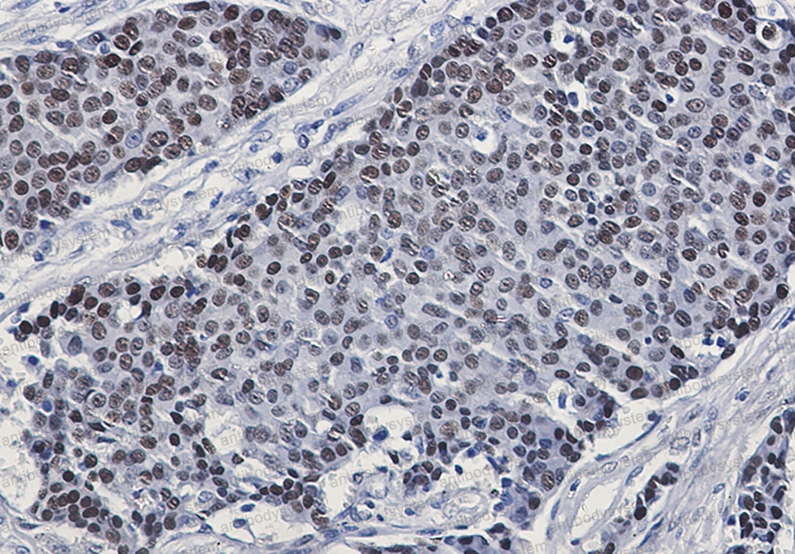
Anti-Phospho-GATA3 (Ser308) Antibody (R1S50) (RHD60501)
Реактивность подтвержденная:
человек
Источник (хозяин):
кролик
Валидировано для:
IHC
IP
WB
Характеристики
Техническое описание
| Русское название | RHD60501 Моноклональное антитело к фосфо-GATA3 (Ser308) (R1S50) <AntibodySystem,Китай> |
| Каталожный номер | RHD60501 |
| Название антигена | GATA Binding Protein 3 (GATA3) |
| UNIPROT | P23771 |
| Английские синонимы | HDR, Trans-acting T-cell-specific transcription factor GATA-3 |
Реактивность подтвержденная Нужна другая реактивность? |
человек |
| Источник (хозяин) | кролик |
| Изотип | IgG |
| Клональность | моноклональное |
| Клон | R1S50 |
| Рекомбинантное | да |
| Готовое к использованию | нет |
| Концентрация | 1 мг/мл |
| Конъюгат | нет |
| Валидировано для | IHC IP WB Иммуногистохимия; Иммунопреципитация; Вестерн-блоттинг |
| Рекомендуемые разведения | IHC: 1:50-1:100, IP: 1:20, WB: 1:500-1:1000 |
| Метод очистки | Очистка с белками A/G из супернатанта клеточной культуры |
| Чистота | >95% |
| Состав буфера | 0.01M PBS, pH 7.4, 0.05% БСА, 50% глицерин, 0.05% азид натрия |
| Условия доставки | термобокс с аккумуляторами холода |
| Условия хранения | Хранить при -20 С -12 месяцев |
| Срок хранения | 12 месяцев |
| Производитель | AntibodySystem |
| Ссылка на страницу товара на сайте производителя | https://www.antibodysystem.com/product/31287.html |
|
Артикул
|
Наименование |
Производитель
|
|---|
|
Артикул
|
Наименование |
Производитель
|
|---|
|
Артикул
|
Наименование |
Производитель
|
|---|
Акции и предложения
Популярные продукты:
Anti-MARV GP/Envelope glycoprotein Antibody (SAb2273) (RVV24307)
Источник (хозяин): человек
Реактивность подтвержденная: вирусы
Валидировано для: ELISA, NEUT
Реактивность подтвержденная: вирусы
Валидировано для: ELISA, NEUT
Anti-HEV RdRp replicase Antibody (SAb2339) (RVV45702)
Источник (хозяин): человек
Реактивность подтвержденная: вирусы
Валидировано для: ELISA
Реактивность подтвержденная: вирусы
Валидировано для: ELISA
Anti-GATA Binding Protein 3 (GATA3) Monoclonal Antibody (FAA410Hu02)
Источник (хозяин): мышь
Реактивность подтвержденная: человек
Валидировано для: FCM
Реактивность подтвержденная: человек
Валидировано для: FCM
Anti-Chromodomain Helicase DNA Binding Protein 3 (CHD3) Polyclonal Antibody (FAA317Hu01)
Источник (хозяин): кролик
Реактивность подтвержденная: человек
Валидировано для: FCM
Реактивность подтвержденная: человек
Валидировано для: FCM
CLIA Kit for Survival Of Motor Neuron 2, Centromeric (SMN2) (SCD498Hu)
Организм: человек
Диапазон определения: 13.7-10,000 пг/мл
Чувствительность: 0.114 нг/мл
Диапазон определения: 13.7-10,000 пг/мл
Чувствительность: 0.114 нг/мл

