| UNIPROT | P05787 |
Anti-Phospho-KRT8/CK-8 (Ser23) Antibody (R1K43) (RHC17903)
Реактивность подтвержденная:
человек
Источник (хозяин):
кролик
Валидировано для:
IF
IHC
IP
WB
Характеристики
Техническое описание
| Русское название | RHC17903 Моноклональное антитело к фосфо-KRT8/CK-8 (Ser23) (R1K43) <AntibodySystem,Китай> |
| Каталожный номер | RHC17903 |
| Название антигена | Keratin 8 (KRT8) |
| UNIPROT | P05787 |
| Английские синонимы | K8, CARD2, CK8, CYK8, K2C8, KO, Cytokeratin 8, Keratin, type II cytoskeletal 8 |
Реактивность подтвержденная Нужна другая реактивность? |
человек |
| Источник (хозяин) | кролик |
| Изотип | IgG |
| Клональность | моноклональное |
| Клон | R1K43 |
| Рекомбинантное | да |
| Готовое к использованию | нет |
| Концентрация | 1 мг/мл |
| Конъюгат | нет |
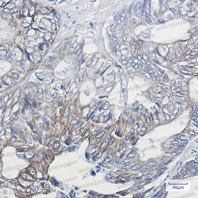
| Валидировано для | IF IHC IP WB Иммунофлуоресценция; Иммуногистохимия; Иммунопреципитация; Вестерн-блоттинг |
| Рекомендуемые разведения | IF: 1:50-1:200, IHC: 1:50-1:100, IP: 1:20, WB: 1:500-1:1000 |
| Метод очистки | Очистка с белками A/G из супернатанта клеточной культуры |
| Чистота | >95% |
| Состав буфера | 0.01M PBS, pH 7.4, 0.05% БСА, 50% глицерин, 0.05% азид натрия |
| Условия доставки | термобокс с аккумуляторами холода |
| Условия хранения | Хранить при -20 С -12 месяцев |
| Срок хранения | 12 месяцев |
| Производитель | AntibodySystem |
| Ссылка на страницу товара на сайте производителя | https://www.antibodysystem.com/product/30587.html |
|
Артикул
|
Наименование |
Производитель
|
|---|
|
Артикул
|
Наименование |
Производитель
|
|---|
|
Артикул
|
Наименование |
Производитель
|
|---|
Акции и предложения
Популярные продукты:
Anti-MARV GP/Envelope glycoprotein Antibody (SAb2273) (RVV24307)
Источник (хозяин): человек
Реактивность подтвержденная: вирусы
Валидировано для: ELISA, NEUT
Реактивность подтвержденная: вирусы
Валидировано для: ELISA, NEUT
Anti-HEV RdRp replicase Antibody (SAb2339) (RVV45702)
Источник (хозяин): человек
Реактивность подтвержденная: вирусы
Валидировано для: ELISA
Реактивность подтвержденная: вирусы
Валидировано для: ELISA
Anti-GATA Binding Protein 3 (GATA3) Monoclonal Antibody (FAA410Hu02)
Источник (хозяин): мышь
Реактивность подтвержденная: человек
Валидировано для: FCM
Реактивность подтвержденная: человек
Валидировано для: FCM
Anti-Chromodomain Helicase DNA Binding Protein 3 (CHD3) Polyclonal Antibody (FAA317Hu01)
Источник (хозяин): кролик
Реактивность подтвержденная: человек
Валидировано для: FCM
Реактивность подтвержденная: человек
Валидировано для: FCM
CLIA Kit for Survival Of Motor Neuron 2, Centromeric (SMN2) (SCD498Hu)
Организм: человек
Диапазон определения: 13.7-10,000 пг/мл
Чувствительность: 0.114 нг/мл
Диапазон определения: 13.7-10,000 пг/мл
Чувствительность: 0.114 нг/мл

