| UNIPROT | Q92569 |
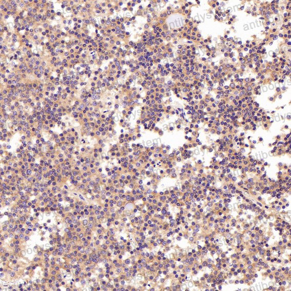
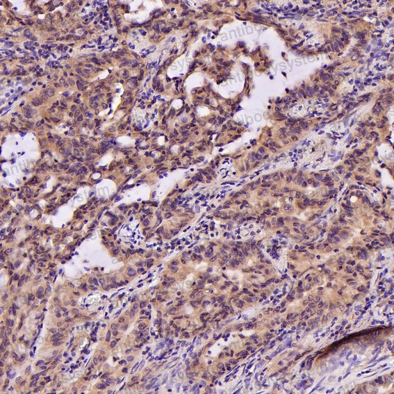
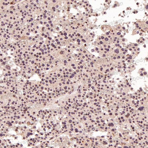
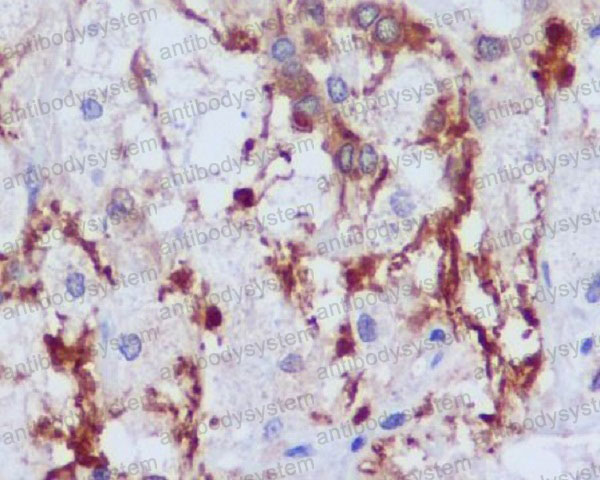
Anti-PI3 Kinase p55 gamma Antibody (R1C24) (RHN60301)
Реактивность подтвержденная:
человек, мышь, крыса
Источник (хозяин):
кролик
Валидировано для:
IF
IHC
WB
Характеристики
Техническое описание
| Русское название | RHN60301 Моноклональное антитело к PI3-киназе p55 гамма (R1C24) <AntibodySystem,Китай> |
| Каталожный номер | RHN60301 |
| Название антигена | Phosphoinositide-3-Kinase Regulatory Subunit 3 (PIK3R3) |
| UNIPROT | Q92569 |
| Английские синонимы | p55-GAMMA, Phosphatidylinositol 3-kinase 55 kDa regulatory subunit gamma |
Реактивность подтвержденная Нужна другая реактивность? |
человек, мышь, крыса |
| Источник (хозяин) | кролик |
| Изотип | IgG |
| Клональность | моноклональное |
| Клон | R1C24 |
| Рекомбинантное | да |
| Готовое к использованию | нет |
| Концентрация | 1 мг/мл |
| Конъюгат | нет |
| Валидировано для | IF IHC WB Иммунофлуоресценция; Иммуногистохимия; Вестерн-блоттинг |
| Рекомендуемые разведения | IF: 1:50-1:200, IHC: 1:100-1:200, WB: 1:1000-1:2000 |
| Метод очистки | Очистка с белками A/G из супернатанта клеточной культуры |
| Чистота | >95% |
| Состав буфера | 0.01M PBS, pH 7.4, 0.05% БСА, 50% глицерин, 0.05% азид натрия |
| Условия доставки | термобокс с аккумуляторами холода |
| Условия хранения | Хранить при -20 С -12 месяцев |
| Срок хранения | 12 месяцев |
| Производитель | AntibodySystem |
| Ссылка на страницу товара на сайте производителя | https://www.antibodysystem.com/product/29828.html |
|
Артикул
|
Наименование |
Производитель
|
|---|
|
Артикул
|
Наименование |
Производитель
|
|---|
Акции и предложения
Популярные продукты:
Rat Phosphoglycerate Mutase 2 ELISA kit (E02P0644)
Организм: крыса
PE Anti-Mouse CD64/FcγRI Antibody[X54-5/7.1] (FCE3258)
Источник (хозяин): мышь
Реактивность подтвержденная: мышь
Валидировано для: FCM
Реактивность подтвержденная: мышь
Валидировано для: FCM
Anti-PI3 Kinase p55 gamma Antibody (R1C24) (RHN60301)
Источник (хозяин): кролик
Реактивность подтвержденная: человек, мышь, крыса
Валидировано для: IF, IHC, WB
Реактивность подтвержденная: человек, мышь, крыса
Валидировано для: IF, IHC, WB
Polyclonal Antibody to Contactin Associated Protein 1 (Caspr) (PAB026Hu01)
Источник (хозяин): кролик
Реактивность подтвержденная: человек
Валидировано для: IHC
Реактивность подтвержденная: человек
Валидировано для: IHC
Rituximab ELISA Kit (KDC90709)
Организм: человек
Диапазон определения: 31.25-2000 нг/мл
Чувствительность: 23.65 нг/мл
Диапазон определения: 31.25-2000 нг/мл
Чувствительность: 23.65 нг/мл

