| UNIPROT | Q9Y2I7 |
Anti-PIKFYVE Antibody (R3Z30) (RHK70801)
Реактивность подтвержденная:
человек
Источник (хозяин):
мышь
Валидировано для:
IHC
Характеристики
Техническое описание
| Русское название | RHK70801 Моноклональное антитело к PIKFYVE (R3Z30) <AntibodySystem,Китай> |
| Каталожный номер | RHK70801 |
| Название антигена | Phosphoinositide Kinase, FYVE Finger Containing (PIKFYVE) |
| UNIPROT | Q9Y2I7 |
| Английские синонимы | PIP5K3, CFD, PIP5K, PIKfyve, p235, Phosphatidylinositol-3-Phosphate/Phosphatidylinositol 5-Kinase,Type III, 1-phosphatidylinositol 3-phosphate 5-kinase |
Реактивность подтвержденная Нужна другая реактивность? |
человек |
| Источник (хозяин) | мышь |
| Изотип | IgG2b |
| Клональность | моноклональное |
| Клон | R3Z30 |
| Рекомбинантное | да |
| Готовое к использованию | нет |
| Концентрация | 1 мг/мл |
| Конъюгат | нет |
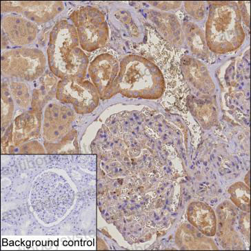
| Валидировано для | IHC Иммуногистохимия |
| Рекомендуемые разведения | IHC: 1:100-1:200 |
| Метод очистки | Очистка с белками A/G из супернатанта клеточной культуры |
| Чистота | >95% |
| Состав буфера | 0.01M PBS, pH 7.4, 0.05% натрия азид |
| Условия хранения | Хранить при 4°C не более 1-2 недель. Хранить при -20°C - 12 месяцев |
| Срок хранения | 12 месяцев |
| Производитель | AntibodySystem |
| Ссылка на страницу товара на сайте производителя | https://www.antibodysystem.com/product/36988.html |
|
Артикул
|
Наименование |
Производитель
|
|---|
|
Артикул
|
Наименование |
Производитель
|
|---|
|
Артикул
|
Наименование |
Производитель
|
|---|
Акции и предложения
Популярные продукты:
Anti-Neisseria meningitidis pilin protein Polyclonal Antibody (PXX25501)
Источник (хозяин): кролик
Реактивность подтвержденная: бактерии
Валидировано для: ELISA, IHC, WB
Реактивность подтвержденная: бактерии
Валидировано для: ELISA, IHC, WB
Anti-Human IL24 Antibody (Fs0359) (RHG37001)
Источник (хозяин): человек
Реактивность подтвержденная: человек
Валидировано для: ELISA, FCM, NEUT
Реактивность подтвержденная: человек
Валидировано для: ELISA, FCM, NEUT
Anti-HPV18 E7/Protein E7 Antibody (SAA2236) (RVV08906)
Источник (хозяин): мышь
Реактивность подтвержденная: вирусы
Валидировано для: ELISA, IF, IP, WB
Реактивность подтвержденная: вирусы
Валидировано для: ELISA, IF, IP, WB
Anti-Insulin Like Growth Factor Binding Protein 3 (IGFBP3) Monoclonal Antibody (FAA054Hu02)
Источник (хозяин): мышь
Реактивность подтвержденная: человек
Валидировано для: FCM
Реактивность подтвержденная: человек
Валидировано для: FCM
Anti-Nuclear Receptor Coactivator 3 (NCOA3) Polyclonal Antibody (FAE798Hu01)
Источник (хозяин): кролик
Реактивность подтвержденная: человек
Валидировано для: FCM
Реактивность подтвержденная: человек
Валидировано для: FCM
Anti-Cluster Of Differentiation 4 (CD4) Monoclonal Antibody (FAB167Hu02)
Источник (хозяин): мышь
Реактивность подтвержденная: человек
Валидировано для: FCM
Реактивность подтвержденная: человек
Валидировано для: FCM

