| UNIPROT | Q7Z3Z4 |
Anti-PIWIL4 Antibody (R4C24) (RHP00301)
Реактивность подтвержденная:
человек
Источник (хозяин):
мышь
Валидировано для:
ELISA
FCM
IHC
WB
Характеристики
Техническое описание
| Русское название | RHP00301 Моноклональное антитело к PIWIL4 (R4C24) <AntibodySystem,Китай> |
| Каталожный номер | RHP00301 |
| Название антигена | Piwi Like Protein 4 (PIWIL4) |
| UNIPROT | Q7Z3Z4 |
| Английские синонимы | HIWI2, Miwi2 |
Реактивность подтвержденная Нужна другая реактивность? |
человек |
| Источник (хозяин) | мышь |
| Изотип | IgG1 |
| Клональность | моноклональное |
| Клон | R4C24 |
| Рекомбинантное | да |
| Готовое к использованию | нет |
| Концентрация | 1 мг/мл |
| Конъюгат | нет |
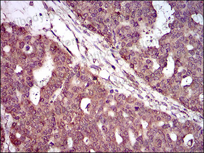
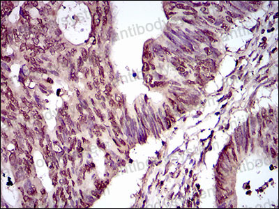
| Валидировано для | ELISA FCM IHC WB Иммуноферментный анализ; Проточная цитометрия; Иммуногистохимия; Вестерн-блоттинг |
| Рекомендуемые разведения | ELISA: 1:10000, FCM: 1:200-1:400, IHC: 1:200-1:1000, WB: 1:500-1:2000 |
| Метод очистки | Очистка с белками A/G из супернатанта клеточной культуры |
| Чистота | >95% |
| Состав буфера | 0.01M PBS, pH 7.4, 0.05% натрия азид |
| Условия хранения | Хранить при 4°C не более 1-2 недель. Хранить при -20°C - 12 месяцев |
| Срок хранения | 12 месяцев |
| Производитель | AntibodySystem |
| Ссылка на страницу товара на сайте производителя | https://www.antibodysystem.com/product/37279.html |
|
Артикул
|
Наименование |
Производитель
|
|---|
|
Артикул
|
Наименование |
Производитель
|
|---|
Акции и предложения
Популярные продукты:
Recombinant Puromycin Sensitive Aminopeptidase (PSA) (RPE206Hu02)
Источник (хозяин): E.coli
Организм: человек
Фрагмент: Thr141-Val272 (Accession # P55786)
Теги: N-концевой His-Tag
Биоактивность: нет
Организм: человек
Фрагмент: Thr141-Val272 (Accession # P55786)
Теги: N-концевой His-Tag
Биоактивность: нет
ELISA Kit DIY Materials for Interleukin 12B (IL12B) (KSA058Bo01)
Организм: корова
Диапазон определения: 15.6-1000 пг/мл
Чувствительность: 5.5 пг/мл
Диапазон определения: 15.6-1000 пг/мл
Чувствительность: 5.5 пг/мл
Chicken Sentan(SNTN) ELISA kit (E12S0388)
Организм: курица
Human Centromere protein U(MLF1IP) ELISA kit (E01C0942)
Организм: человек
Диапазон определения: 1-25 нг/мл
Чувствительность: 0.1 нг/мл
Диапазон определения: 1-25 нг/мл
Чувствительность: 0.1 нг/мл
Rat Myogenic factor 6(MYF6) ELISA kit (E02M0412)
Организм: крыса
Rabbit Carboxypeptidase D(CPD) ELISA kit (E04C1996)
Организм: кролик

