| UNIPROT | P19174 |
Anti-PLCG1 Antibody (R3F16) (RHD32603)
Реактивность подтвержденная:
человек, крыса, обезьяна
Источник (хозяин):
мышь
Валидировано для:
ELISA
FCM
IF
IHC
WB
Характеристики
Техническое описание
| Русское название | RHD32603 Моноклональное антитело к PLCG1 (R3F16) <AntibodySystem,Китай> |
| Каталожный номер | RHD32603 |
| Название антигена | Phospholipase C Gamma 1 (PLCg1) |
| UNIPROT | P19174 |
| Английские синонимы | NCKAP3, PLC-G1, PLC-II, PLC1, PLC148, PLCgamma1, 1-phosphatidylinositol 4,5-bisphosphate phosphodiesterase gamma-1, Phosphoinositide phospholipase C-gamma-1 |
Реактивность подтвержденная Нужна другая реактивность? |
человек, крыса, обезьяна |
| Источник (хозяин) | мышь |
| Изотип | IgG1 |
| Клональность | моноклональное |
| Клон | R3F16 |
| Рекомбинантное | да |
| Готовое к использованию | нет |
| Концентрация | 1 мг/мл |
| Конъюгат | нет |
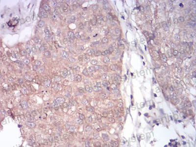
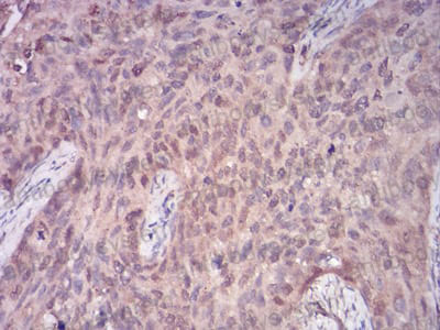
| Валидировано для | ELISA FCM IF IHC WB Иммуноферментный анализ; Проточная цитометрия; Иммунофлуоресценция; Иммуногистохимия; Вестерн-блоттинг |
| Рекомендуемые разведения | ELISA: 1:10000, FCM: 1:200-1:400, IF: 1:200-1:1000, IHC: 1:200-1:1000, WB: 1:500-1:2000 |
| Метод очистки | Очистка с белками A/G из супернатанта клеточной культуры |
| Чистота | >95% |
| Состав буфера | 0.01M PBS, pH 7.4, 0.05% натрия азид |
| Условия доставки | термобокс с аккумуляторами холода |
| Условия хранения | Хранить при 4°C не более 1-2 недель. Хранить при -20°C - 12 месяцев |
| Срок хранения | 12 месяцев |
| Производитель | AntibodySystem |
| Ссылка на страницу товара на сайте производителя | https://www.antibodysystem.com/product/35193.html |
|
Артикул
|
Наименование |
Производитель
|
|---|
|
Артикул
|
Наименование |
Производитель
|
|---|
|
Артикул
|
Наименование |
Производитель
|
|---|
|
Артикул
|
Наименование |
Производитель
|
|---|
|
Артикул
|
Наименование |
Производитель
|
|---|
Акции и предложения
Популярные продукты:
Chicken Beta-Carotene ELISA Kit (E12B1086)
Организм: курица
Rat Nurim(NRM) ELISA kit (E02N0565)
Организм: крыса
Mouse Deoxypyridinoline ELISA kit (E03D0033)
Организм: мышь
Диапазон определения: 25-500 нмоль/мл
Чувствительность: 1 нмоль/мл
Диапазон определения: 25-500 нмоль/мл
Чувствительность: 1 нмоль/мл
Anti-Mouse EPOR Antibody (Fs0378) (FMD32810)
Источник (хозяин): мышь
Реактивность подтвержденная: мышь
Валидировано для: ELISA, FCM
Реактивность подтвержденная: мышь
Валидировано для: ELISA, FCM
Anti-Human CD1b Antibody (Fs0326), PerCP (FHD81014)
Источник (хозяин): мышь
Реактивность подтвержденная: человек
Валидировано для: ELISA, FCM, IF, IP, WB
Реактивность подтвержденная: человек
Валидировано для: ELISA, FCM, IF, IP, WB
Anti-Ferritin, Light Polypeptide (FTL) Monoclonal Antibody (FAD020Hu04)
Источник (хозяин): мышь
Реактивность подтвержденная: человек
Валидировано для: FCM
Реактивность подтвержденная: человек
Валидировано для: FCM

