| UNIPROT | P54278 |
Anti-PMS2 Antibody (R3N15) (RHF03006)
Реактивность подтвержденная:
человек
Источник (хозяин):
мышь
Валидировано для:
ELISA
FCM
IHC
WB
Характеристики
Техническое описание
| Русское название | RHF03006 Моноклональное антитело к PMS2 (R3N15) <AntibodySystem,Китай> |
| Каталожный номер | RHF03006 |
| Название антигена | Postmeiotic Segregation Increased Protein 2 (PMS2) |
| UNIPROT | P54278 |
| Английские синонимы | HNPCC4, PMS2CL, PMSL2, Mismatch repair endonuclease PMS2, DNA mismatch repair protein PMS2, PMS1 protein homolog 2 |
Реактивность подтвержденная Нужна другая реактивность? |
человек |
| Источник (хозяин) | мышь |
| Изотип | IgG1 |
| Клональность | моноклональное |
| Клон | R3N15 |
| Рекомбинантное | да |
| Готовое к использованию | нет |
| Концентрация | 1 мг/мл |
| Конъюгат | нет |
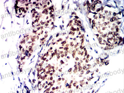
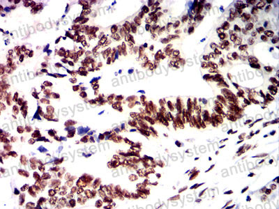
| Валидировано для | ELISA FCM IHC WB Иммуноферментный анализ; Проточная цитометрия; Иммуногистохимия; Вестерн-блоттинг |
| Рекомендуемые разведения | ELISA: 1:10000, FCM: 1:200-1:400, IHC: 1:200-1:1000, WB: 1:500-1:2000 |
| Метод очистки | Очистка с белками A/G из супернатанта клеточной культуры |
| Чистота | >95% |
| Состав буфера | 0.01M PBS, pH 7.4, 0.05% натрия азид |
| Условия хранения | Хранить при 4°C не более 1-2 недель. Хранить при -20°C - 12 месяцев |
| Срок хранения | 12 месяцев |
| Производитель | AntibodySystem |
| Ссылка на страницу товара на сайте производителя | https://www.antibodysystem.com/product/35885.html |
|
Артикул
|
Наименование |
Производитель
|
|---|
|
Артикул
|
Наименование |
Производитель
|
|---|
Акции и предложения
Популярные продукты:
Anti-tdTomato Antibody (SAb2438) (RWK27401)
Источник (хозяин): альпака
Реактивность подтвержденная: для всех
Валидировано для: ELISA
Реактивность подтвержденная: для всех
Валидировано для: ELISA
Goat Ceramide kinase(CERK) ELISA kit (E06C1622)
Организм: коза
Rat Calponin 1(CNN1) ELISA kit (E02C1853)
Организм: крыса
Chicken Sulfite oxidase, mitochondrial(SUOX) ELISA kit (E12S0425)
Организм: курица

