| UNIPROT | O00592 |
Anti-PODXL Antibody (R2T61) (RHA16804)
Реактивность подтвержденная:
человек
Источник (хозяин):
мышь
Валидировано для:
ELISA
FCM
IHC
Характеристики
Техническое описание
| Русское название | RHA16804 Моноклональное антитело к PODXL (R2T61) <AntibodySystem,Китай> |
| Каталожный номер | RHA16804 |
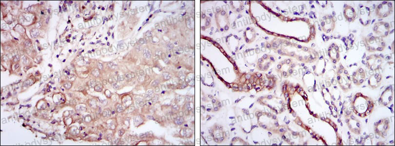
| Название антигена | Podocalyxin (PCX) |
| UNIPROT | O00592 |
| Английские синонимы | Gp200, PCLP, PC, PODXL, Podocalyxin Like Protein 1, GCTM-2 antigen, TRA-1-60 |
Реактивность подтвержденная Нужна другая реактивность? |
человек |
| Источник (хозяин) | мышь |
| Изотип | IgG1 |
| Клональность | моноклональное |
| Клон | R2T61 |
| Рекомбинантное | да |
| Готовое к использованию | нет |
| Концентрация | 1 мг/мл |
| Конъюгат | нет |
| Валидировано для | ELISA FCM IHC Иммуноферментный анализ; Проточная цитометрия; Иммуногистохимия |
| Рекомендуемые разведения | ELISA: 1:10000, FCM: 1:200-1:400, IHC: 1:200-1:1000 |
| Метод очистки | Очистка с белками A/G из супернатанта клеточной культуры |
| Чистота | >95% |
| Состав буфера | 0.01M PBS, pH 7.4, 0.05% натрия азид |
| Условия доставки | термобокс с аккумуляторами холода |
| Условия хранения | Хранить при 4°C не более 1-2 недель. Хранить при -20°C - 12 месяцев |
| Срок хранения | 12 месяцев |
| Производитель | AntibodySystem |
| Ссылка на страницу товара на сайте производителя | https://www.antibodysystem.com/product/34050.html |
|
Артикул
|
Наименование |
Производитель
|
|---|
|
Артикул
|
Наименование |
Производитель
|
|---|
|
Артикул
|
Наименование |
Производитель
|
|---|
|
Артикул
|
Наименование |
Производитель
|
|---|
Акции и предложения
Популярные продукты:
Anti-Stanozolol/STZ Monoclonal Antibody (1A474) (MGN45604)
Источник (хозяин): мышь
Реактивность подтвержденная: для всех
Валидировано для: ELISA
Реактивность подтвержденная: для всех
Валидировано для: ELISA
Chicken Glycine N methyltransferase(GNMT) ELISA kit (E12G0435)
Организм: курица
Canine cAMP Specific Phosphodiesterase 4B ELISA kit (E08P1051)
Организм: собака
Sheep 60S ribosomal protein L8(RPL8) ELISA kit (E14R0469)
Организм: овца
Sheep Myosin VIIa(MYO7A) ELISA kit (E14M0422)
Организм: овца

