| UNIPROT | Q15165 |
Anti-PON2 Antibody (R2G09) (RHH03601)
Реактивность подтвержденная:
человек
Источник (хозяин):
кролик
Валидировано для:
IHC
IP
WB
Характеристики
Техническое описание
| Русское название | RHH03601 Моноклональное антитело к PON2 (R2G09) <AntibodySystem,Китай> |
| Каталожный номер | RHH03601 |
| Название антигена | Paraoxonase 2 (PON2) |
| UNIPROT | Q15165 |
| Английские синонимы | Serum Paraoxonase/Arylesterase 2, Paraoxonase Nirs, Aromatic esterase 2, Serum aryldialkylphosphatase 2 |
Реактивность подтвержденная Нужна другая реактивность? |
человек |
| Источник (хозяин) | кролик |
| Изотип | IgG |
| Клональность | моноклональное |
| Клон | R2G09 |
| Рекомбинантное | да |
| Готовое к использованию | нет |
| Концентрация | 1 мг/мл |
| Конъюгат | нет |
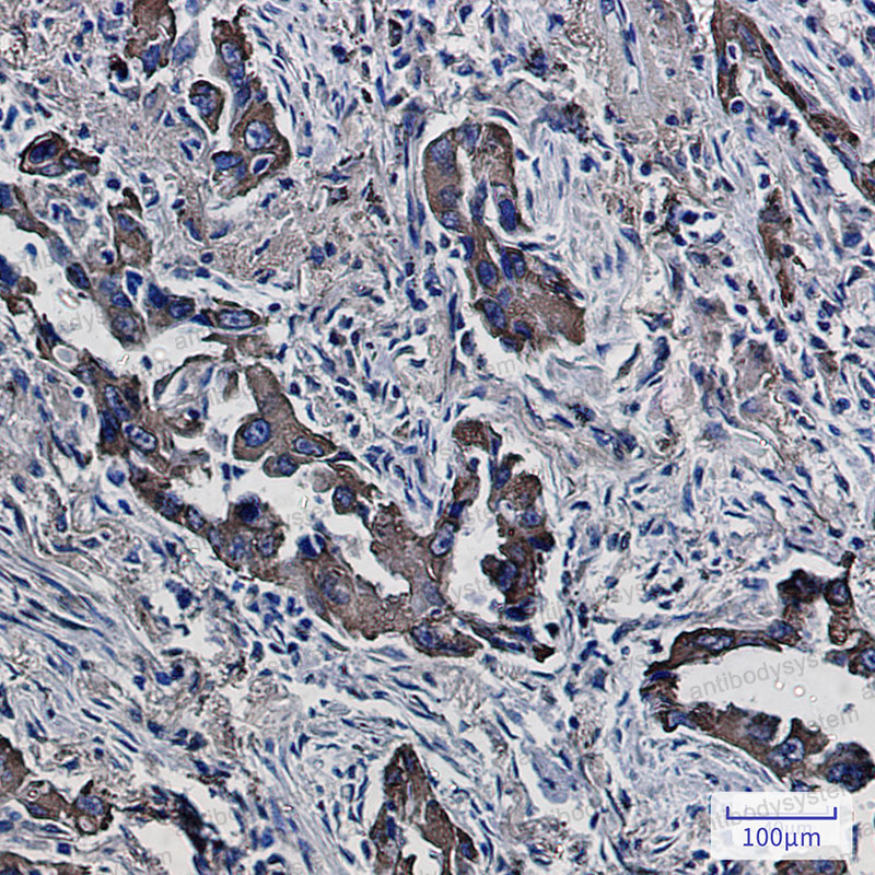
| Валидировано для | IHC IP WB Иммуногистохимия; Иммунопреципитация; Вестерн-блоттинг |
| Рекомендуемые разведения | IHC: 1:50-1:100, IP: 1:20, WB: 1:500-1:1000 |
| Метод очистки | Очистка с белками A/G из супернатанта клеточной культуры |
| Чистота | >95% |
| Состав буфера | 0.01M PBS, pH 7.4, 0.05% БСА, 50% глицерин, 0.05% азид натрия |
| Условия доставки | термобокс с аккумуляторами холода |
| Условия хранения | Хранить при -20 С -12 месяцев |
| Срок хранения | 12 месяцев |
| Производитель | AntibodySystem |
| Ссылка на страницу товара на сайте производителя | https://www.antibodysystem.com/product/32632.html |
|
Артикул
|
Наименование |
Производитель
|
|---|
|
Артикул
|
Наименование |
Производитель
|
|---|
|
Артикул
|
Наименование |
Производитель
|
|---|
Акции и предложения
Популярные продукты:
Anti-FMC63 scFv Monoclonal Antibody (SAA1996), PerCP (RAD10841)
Источник (хозяин): кролик
Реактивность подтвержденная: для всех
Валидировано для: ELISA, FCM
Реактивность подтвержденная: для всех
Валидировано для: ELISA, FCM
Rabbit Plakophilin 1 ELISA kit (E04P0119)
Организм: кролик
Mouse Calcineurin ELISA kit (E03C0535)
Организм: мышь
Goat Omentin 1 ELISA kit (E06O0022)
Организм: коза
Canine Estrone Sulfate ELISA kit (E08E0538)
Организм: собака
Anti-Human SLC2A5 Polyclonal Antibody (PHD54001)
Источник (хозяин): кролик
Реактивность подтвержденная: человек
Валидировано для: ELISA, IHC, WB
Реактивность подтвержденная: человек
Валидировано для: ELISA, IHC, WB

