| UNIPROT | P30044 |
Anti-PRDX5 Antibody (R3H91) (RHD86403)
Реактивность подтвержденная:
человек
Источник (хозяин):
мышь
Валидировано для:
IHC
IP
WB
Характеристики
Техническое описание
| Русское название | RHD86403 Моноклональное антитело к PRDX5 (R3H91) <AntibodySystem,Китай> |
| Каталожный номер | RHD86403 |
| Название антигена | Peroxiredoxin 5 (PRDX5) |
| UNIPROT | P30044 |
| Английские синонимы | PLP, PRDX6, ACR1, PMP20, PRXV, SBBI10, Thioredoxin Peroxidase PMP20, Peroxisomal Antioxidant Enzyme, TPx Type VI, Liver Tissue 2D-Page Spot 71B, Alu Co-Repressor 1 |
Реактивность подтвержденная Нужна другая реактивность? |
человек |
| Источник (хозяин) | мышь |
| Изотип | IgG1 |
| Клональность | моноклональное |
| Клон | R3H91 |
| Рекомбинантное | да |
| Готовое к использованию | нет |
| Концентрация | 1 мг/мл |
| Конъюгат | нет |
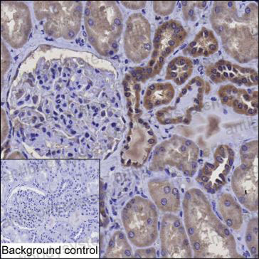
| Валидировано для | IHC IP WB Иммуногистохимия; Иммунопреципитация; Вестерн-блоттинг |
| Рекомендуемые разведения | IHC: 1:100-1:200, IP: 1:100-1:200, WB: 1:500-1:1000 |
| Метод очистки | Очистка с белками A/G из супернатанта клеточной культуры |
| Чистота | >95% |
| Состав буфера | 0.01M PBS, pH 7.4, 0.05% натрия азид |
| Условия хранения | Хранить при 4°C не более 1-2 недель. Хранить при -20°C - 12 месяцев |
| Срок хранения | 12 месяцев |
| Производитель | AntibodySystem |
| Ссылка на страницу товара на сайте производителя | https://www.antibodysystem.com/product/35466.html |
|
Артикул
|
Наименование |
Производитель
|
|---|
|
Артикул
|
Наименование |
Производитель
|
|---|
|
Артикул
|
Наименование |
Производитель
|
|---|
|
Артикул
|
Наименование |
Производитель
|
|---|
|
Артикул
|
Наименование |
Производитель
|
|---|
Акции и предложения
Популярные продукты:
ELISA Kit DIY Materials for Kynurenine (KYN) (KSX300Ge11)
Организм: для всех
Диапазон определения: 1.23-100 нг/мл
Чувствительность: 0.53 нг/мл
Диапазон определения: 1.23-100 нг/мл
Чувствительность: 0.53 нг/мл
Monoclonal Antibody to Prostaglandin-H2 D-isomerase (PTGDS) (MAA724Hu25)
Источник (хозяин): мышь
Реактивность подтвержденная: человек
Валидировано для: ICC, IF
Реактивность подтвержденная: человек
Валидировано для: ICC, IF
Porcine Acylamino acid releasing enzyme(APEH) ELISA kit (E07A1588)
Организм: свинья
Mouse Cohesin subunit SA 1(STAG1) ELISA kit (E03C2450)
Организм: мышь
Human A kinase anchor protein 2(AKAP2) ELISA kit (E01A1355)
Организм: человек
Диапазон определения: 100-2500 пг/мл
Чувствительность: 1 пг/мл
Диапазон определения: 100-2500 пг/мл
Чувствительность: 1 пг/мл
Mouse Cytochrome P450 2D6(CYP2D6) ELISA kit (E03C2242)
Организм: мышь
Диапазон определения: 1-25 нг/мл
Чувствительность: 0.1 нг/мл
Диапазон определения: 1-25 нг/мл
Чувствительность: 0.1 нг/мл

