| UNIPROT | P54646 |
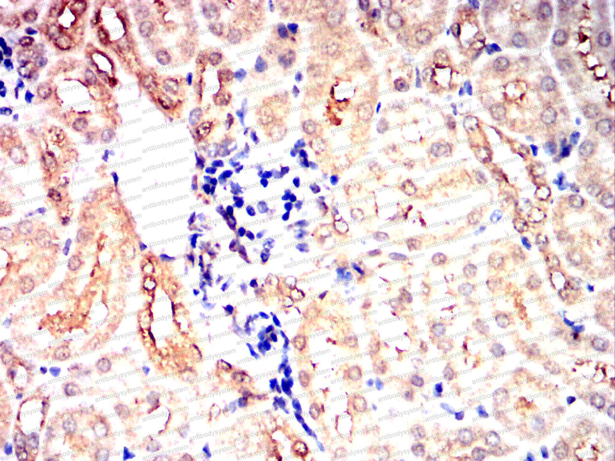
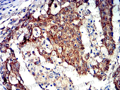
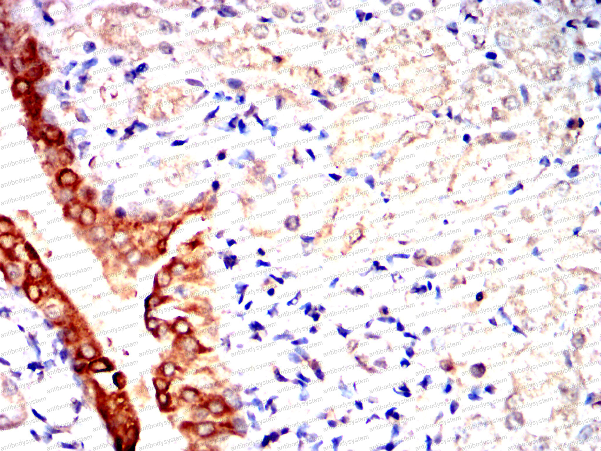
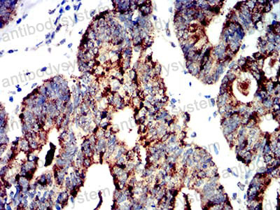
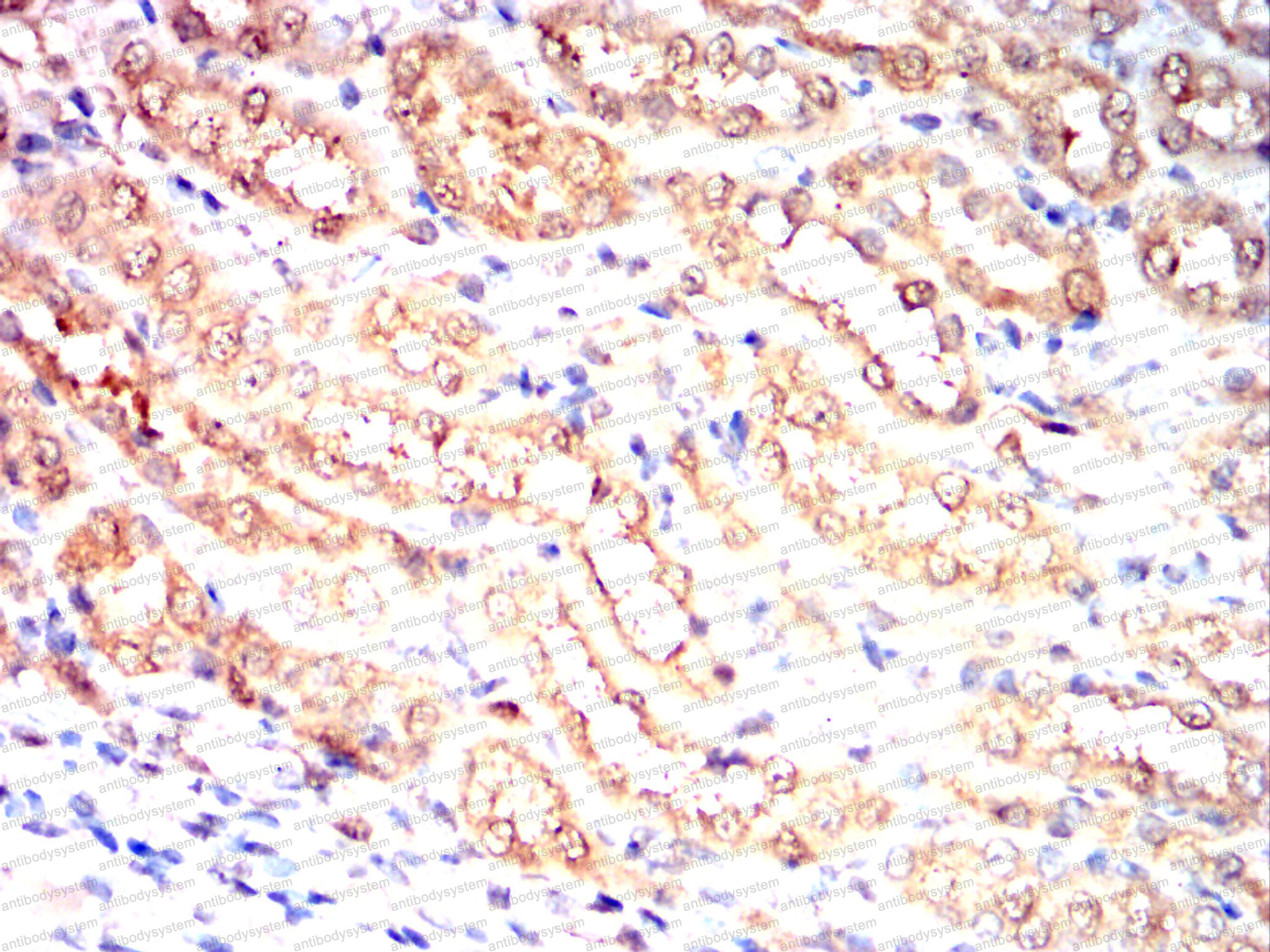
Anti-PRKAA2 Antibody (R3N18) (RHF04003)
Реактивность подтвержденная:
человек, мышь, крыса, кролик, обезьяна
Источник (хозяин):
мышь
Валидировано для:
ELISA
FCM
IF
IHC
WB
Характеристики
Техническое описание
| Русское название | RHF04003 Моноклональное антитело к PRKAA2 (R3N18) <AntibodySystem,Китай> |
| Каталожный номер | RHF04003 |
| Название антигена | Protein Kinase, AMP Activated Alpha 2 (PRKAa2) |
| UNIPROT | P54646 |
| Английские синонимы | AMPK, AMPK2, PRKAA, 5"""-AMP-Activated Protein Kinase Catalytic Subunit Alpha-2, Acetyl-CoA carboxylase kinase, Hydroxymethylglutaryl-CoA reductase kinase |
Реактивность подтвержденная Нужна другая реактивность? |
человек, мышь, крыса, кролик, обезьяна |
| Источник (хозяин) | мышь |
| Изотип | IgG1 |
| Клональность | моноклональное |
| Клон | R3N18 |
| Рекомбинантное | да |
| Готовое к использованию | нет |
| Концентрация | 1 мг/мл |
| Конъюгат | нет |
| Валидировано для | ELISA FCM IF IHC WB Иммуноферментный анализ; Проточная цитометрия; Иммунофлуоресценция; Иммуногистохимия; Вестерн-блоттинг |
| Рекомендуемые разведения | ELISA: 1:10000, FCM: 1:200-1:400, IF: 1:50-1:500, IHC: 1:100-1:500, WB: 1:500-1:2000 |
| Метод очистки | Очистка с белками A/G из супернатанта клеточной культуры |
| Чистота | >95% |
| Состав буфера | 0.01M PBS, pH 7.4, 0.05% натрия азид |
| Условия хранения | Хранить при 4°C не более 1-2 недель. Хранить при -20°C - 12 месяцев |
| Срок хранения | 12 месяцев |
| Производитель | AntibodySystem |
| Ссылка на страницу товара на сайте производителя | https://www.antibodysystem.com/product/35888.html |
|
Артикул
|
Наименование |
Производитель
|
|---|
|
Артикул
|
Наименование |
Производитель
|
|---|
|
Артикул
|
Наименование |
Производитель
|
|---|
Акции и предложения
Популярные продукты:
ELISA Kit DIY Materials for Chemokine (C-C motif) ligand 6 (CCL6) (KSB060Mu01)
Организм: мышь
Диапазон определения: 31.2-2000 пг/мл
Чувствительность: 13.1 пг/мл
Диапазон определения: 31.2-2000 пг/мл
Чувствительность: 13.1 пг/мл
Goat BCL 6 corepressor(BCOR) ELISA kit (E06B0778)
Организм: коза
Monkey Glutathione Reductase ELISA kit (E09G0238)
Организм: обезьяна
Monkey High sensitivity C Reactive Protein ELISA kit (E09C0087)
Организм: обезьяна
Диапазон определения: 5-100 нг/мл
Чувствительность: 1 нг/мл
Диапазон определения: 5-100 нг/мл
Чувствительность: 1 нг/мл
Chicken C4b binding protein β chain(C4BPB) ELISA kit (E12C1261)
Организм: курица
Goat 8 Hydroxy 2 desoxyguanosine ELISA kit (E06H0007)
Организм: коза

