| UNIPROT | P54646 |
Anti-PRKAA2 Antibody (R3N19) (RHF04004)
Реактивность подтвержденная:
человек
Источник (хозяин):
мышь
Валидировано для:
ELISA
IHC
Характеристики
Техническое описание
| Русское название | RHF04004 Моноклональное антитело к PRKAA2 (R3N19) <AntibodySystem,Китай> |
| Каталожный номер | RHF04004 |
| Название антигена | Protein Kinase, AMP Activated Alpha 2 (PRKAa2) |
| UNIPROT | P54646 |
| Английские синонимы | AMPK, AMPK2, PRKAA, 5"""-AMP-Activated Protein Kinase Catalytic Subunit Alpha-2, Acetyl-CoA carboxylase kinase, Hydroxymethylglutaryl-CoA reductase kinase |
Реактивность подтвержденная Нужна другая реактивность? |
человек |
| Источник (хозяин) | мышь |
| Изотип | IgG1 |
| Клональность | моноклональное |
| Клон | R3N19 |
| Рекомбинантное | да |
| Готовое к использованию | нет |
| Концентрация | 1 мг/мл |
| Конъюгат | нет |
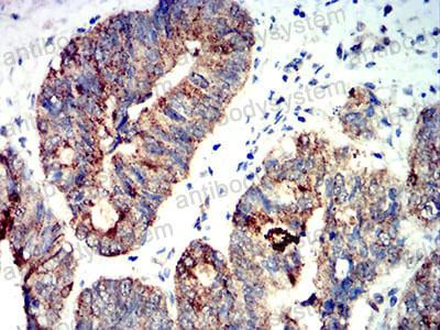
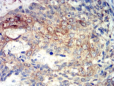
| Валидировано для | ELISA IHC Иммуноферментный анализ; Иммуногистохимия |
| Рекомендуемые разведения | ELISA: 1:10000, IHC: 1:200-1:1000 |
| Метод очистки | Очистка с белками A/G из супернатанта клеточной культуры |
| Чистота | >95% |
| Состав буфера | 0.01M PBS, pH 7.4, 0.05% натрия азид |
| Условия хранения | Хранить при 4°C не более 1-2 недель. Хранить при -20°C - 12 месяцев |
| Срок хранения | 12 месяцев |
| Производитель | AntibodySystem |
| Ссылка на страницу товара на сайте производителя | https://www.antibodysystem.com/product/35889.html |
|
Артикул
|
Наименование |
Производитель
|
|---|
|
Артикул
|
Наименование |
Производитель
|
|---|
|
Артикул
|
Наименование |
Производитель
|
|---|
|
Артикул
|
Наименование |
Производитель
|
|---|
Акции и предложения
Популярные продукты:
Bovine Cyclin L1(CCNL1) ELISA kit (E11C1167)
Организм: корова
Guinea Pig Cyclin L1(CCNL1) ELISA kit (E05C1167)
Организм: морская свинка
Porcine Cathepsin E(CTSE) ELISA kit (E07C2163)
Организм: свинья
Guinea Pig Cathepsin E(CTSE) ELISA kit (E05C2163)
Организм: морская свинка
Guinea Pig Centrosomal Protein 110kDa ELISA kit (E05C0641)
Организм: морская свинка
Chicken Glucokinase Regulatory Protein ELISA kit (E12G0188)
Организм: курица

