| UNIPROT | P31321 |
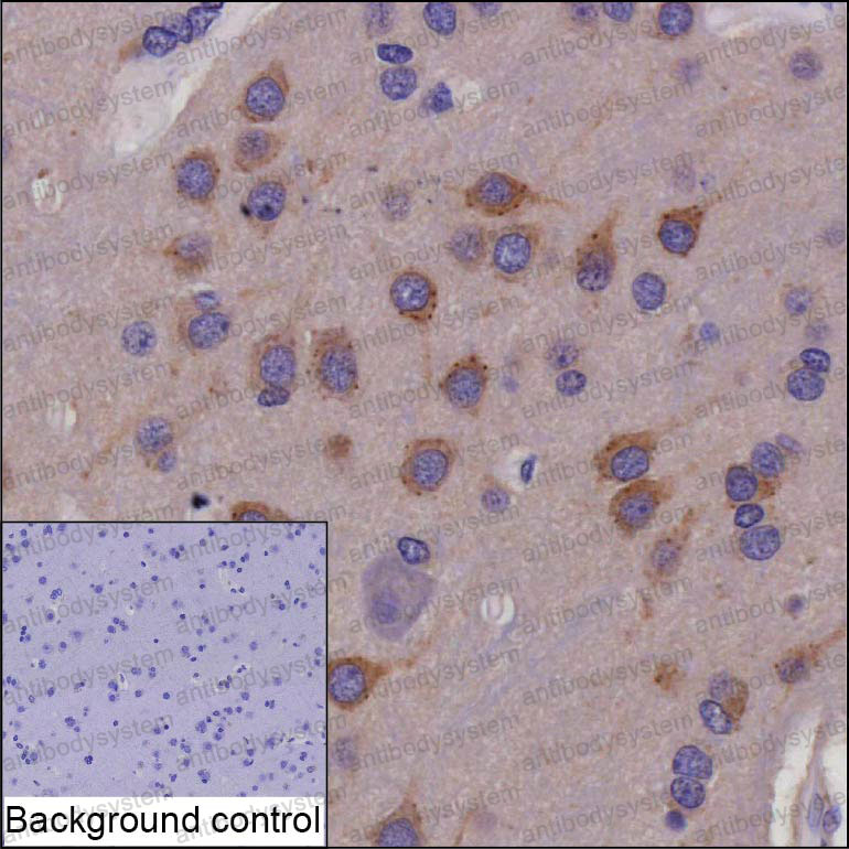
Anti-PRKAR1B Antibody (R3J12) (RHD94701)
Реактивность подтвержденная:
человек
Источник (хозяин):
мышь
Валидировано для:
IHC
Характеристики
Техническое описание
| Русское название | RHD94701 Моноклональное антитело к PRKAR1B (R3J12) <AntibodySystem,Китай> |
| Каталожный номер | RHD94701 |
| Название антигена | Protein Kinase, cAMP Dependent Regulatory Type I Beta (PRKAR1b) |
| UNIPROT | P31321 |
| Английские синонимы | PRKAR1 |
Реактивность подтвержденная Нужна другая реактивность? |
человек |
| Источник (хозяин) | мышь |
| Изотип | IgG1 |
| Клональность | моноклональное |
| Клон | R3J12 |
| Рекомбинантное | да |
| Готовое к использованию | нет |
| Концентрация | 1 мг/мл |
| Конъюгат | нет |
| Валидировано для | IHC Иммуногистохимия |
| Рекомендуемые разведения | IHC: 1:50-1:200 |
| Метод очистки | Очистка с белками A/G из супернатанта клеточной культуры |
| Чистота | >95% |
| Состав буфера | 0.01M PBS, pH 7.4, 0.05% натрия азид |
| Условия хранения | Хранить при 4°C не более 1-2 недель. Хранить при -20°C - 12 месяцев |
| Срок хранения | 12 месяцев |
| Производитель | AntibodySystem |
| Ссылка на страницу товара на сайте производителя | https://www.antibodysystem.com/product/35486.html |
|
Артикул
|
Наименование |
Производитель
|
|---|
Акции и предложения
Популярные продукты:
Goat Glucosidase Alpha, Neutral C ELISA kit (E06G0582)
Организм: коза
Goat Ornithine Decarboxylase ELISA kit (E06O0013)
Организм: коза
Bovine Lactoperoxidase ELISA kit (E11L1211)
Организм: корова
Recombinant Human CLC Protein(GST Tag) (PDEH100645)
Источник (хозяин): E.coli
Организм: человек
Фрагмент: Ser2-Arg142
Теги: N-GST
Биоактивность: нет
Организм: человек
Фрагмент: Ser2-Arg142
Теги: N-GST
Биоактивность: нет
Recombinant Human Cytochrome b5/CYB5A Protein (His Tag) (PKSH032334)
Источник (хозяин): E.coli
Организм: человек
Фрагмент: Met 1-Asp134
Теги: N-His
Биоактивность: нет
Организм: человек
Фрагмент: Met 1-Asp134
Теги: N-His
Биоактивность: нет
Recombinant Human CKMT1A Protein (His Tag) (PKSH030325)
Источник (хозяин): клетки насекомых
Организм: человек
Фрагмент: Ala 40-His 417
Теги: N-His
Биоактивность: нет
Организм: человек
Фрагмент: Ala 40-His 417
Теги: N-His
Биоактивность: нет

