| UNIPROT | Q05655 |
Anti-PRKCD Antibody (R3R17) (RHG05507)
Реактивность подтвержденная:
человек
Источник (хозяин):
мышь
Валидировано для:
IHC
IP
WB
Характеристики
Техническое описание
| Русское название | RHG05507 Моноклональное антитело к PRKCD (R3R17) <AntibodySystem,Китай> |
| Каталожный номер | RHG05507 |
| Название антигена | Protein Kinase C Delta (PKCd) |
| UNIPROT | Q05655 |
| Английские синонимы | PKC-D, MAY1, PRKCD, SDK1, NPKC-Delta, Tyrosine-protein kinase PRKCD, Sphingosine-dependent protein kinase-1 |
Реактивность подтвержденная Нужна другая реактивность? |
человек |
| Источник (хозяин) | мышь |
| Изотип | IgG1 |
| Клональность | моноклональное |
| Клон | R3R17 |
| Рекомбинантное | да |
| Готовое к использованию | нет |
| Концентрация | 1 мг/мл |
| Конъюгат | нет |
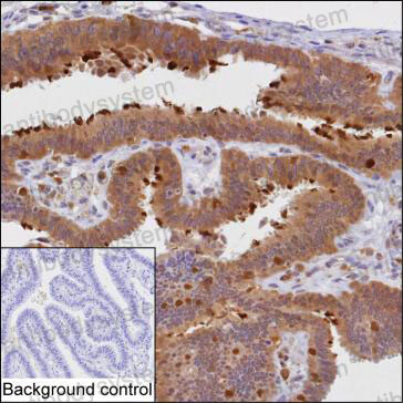
| Валидировано для | IHC IP WB Иммуногистохимия; Иммунопреципитация; Вестерн-блоттинг |
| Рекомендуемые разведения | IHC: 1:100-1:200, IP: 1:100-1:200, WB: 1:500-1:1000 |
| Метод очистки | Очистка с белками A/G из супернатанта клеточной культуры |
| Чистота | >95% |
| Состав буфера | 0.01M PBS, pH 7.4, 0.05% натрия азид |
| Условия хранения | Хранить при 4°C не более 1-2 недель. Хранить при -20°C - 12 месяцев |
| Срок хранения | 12 месяцев |
| Производитель | AntibodySystem |
| Ссылка на страницу товара на сайте производителя | https://www.antibodysystem.com/product/36184.html |
|
Артикул
|
Наименование |
Производитель
|
|---|
|
Артикул
|
Наименование |
Производитель
|
|---|
|
Артикул
|
Наименование |
Производитель
|
|---|
|
Артикул
|
Наименование |
Производитель
|
|---|
|
Артикул
|
Наименование |
Производитель
|
|---|
|
Артикул
|
Наименование |
Производитель
|
|---|
Акции и предложения
Популярные продукты:
Monoclonal Antibody to Alkaline Phosphatase, Placental (ALPP) (MAB219Hu29)
Источник (хозяин): мышь
Реактивность подтвержденная: человек
Валидировано для: IHC, WB
Реактивность подтвержденная: человек
Валидировано для: IHC, WB
Monoclonal Antibody to Alkaline Phosphatase, Placental (ALPP) (MAB219Hu28)
Источник (хозяин): мышь
Реактивность подтвержденная: человек
Валидировано для: IHC, WB
Реактивность подтвержденная: человек
Валидировано для: IHC, WB
Histone H2B Antibody (AF4661)
Источник (хозяин): кролик
Реактивность подтвержденная: человек, мышь, крыса
Валидировано для: WB
Реактивность подтвержденная: человек, мышь, крыса
Валидировано для: WB
Goat Angiotensin 2 ELISA kit (E06A0204)
Организм: коза
Human Cyclin D1 binding protein 1(CCNDBP1) ELISA kit (E01C1447)
Организм: человек

