| UNIPROT | P78527 |
Anti-PRKDC Antibody (R3P79) (RHF68702)
Реактивность подтвержденная:
человек
Источник (хозяин):
мышь
Валидировано для:
ELISA
IF
IHC
Характеристики
Техническое описание
| Русское название | RHF68702 Моноклональное антитело к PRKDC (R3P79) <AntibodySystem,Китай> |
| Каталожный номер | RHF68702 |
| Название антигена | Protein Kinase, DNA Activated, Catalytic Polypeptide (PRKDC) |
| UNIPROT | P78527 |
| Английские синонимы | HYRC, HYRC1, DNPK1, p350, DNAPK, XRCC7, DNA-PKcs |
Реактивность подтвержденная Нужна другая реактивность? |
человек |
| Источник (хозяин) | мышь |
| Изотип | IgG1 |
| Клональность | моноклональное |
| Клон | R3P79 |
| Рекомбинантное | да |
| Готовое к использованию | нет |
| Концентрация | 1 мг/мл |
| Конъюгат | нет |
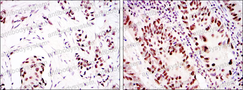
| Валидировано для | ELISA IF IHC Иммуноферментный анализ; Иммунофлуоресценция; Иммуногистохимия |
| Рекомендуемые разведения | ELISA: 1:10000, IF: 1:200-1:1000, IHC: 1:200-1:1000 |
| Метод очистки | Очистка с белками A/G из супернатанта клеточной культуры |
| Чистота | >95% |
| Состав буфера | 0.01M PBS, pH 7.4, 0.05% натрия азид |
| Условия хранения | Хранить при 4°C не более 1-2 недель. Хранить при -20°C - 12 месяцев |
| Срок хранения | 12 месяцев |
| Производитель | AntibodySystem |
| Ссылка на страницу товара на сайте производителя | https://www.antibodysystem.com/product/36048.html |
|
Артикул
|
Наименование |
Производитель
|
|---|
|
Артикул
|
Наименование |
Производитель
|
|---|
|
Артикул
|
Наименование |
Производитель
|
|---|
|
Артикул
|
Наименование |
Производитель
|
|---|
Акции и предложения
Популярные продукты:
Porcine phosphatidylcholine ELISA kit (E07P1058)
Организм: свинья
Canine Alpha parvin(PARVA) ELISA kit (E08A1940)
Организм: собака
Monkey Alpha (1,3) fucosyltransferase (FUT9) ELISA kit (E09A1038)
Организм: обезьяна
Porcine Prolactin-releasing peptide ELISA kit (E07P1120)
Организм: свинья

