| UNIPROT | P07602 |
Anti-PSAP Antibody (R3A32) (RHC27101)
Реактивность подтвержденная:
человек, крыса
Источник (хозяин):
мышь
Валидировано для:
ELISA
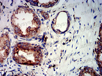
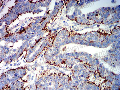
IHC
WB
Характеристики
Техническое описание
| Русское название | RHC27101 Моноклональное антитело к PSAP (R3A32) <AntibodySystem,Китай> |
| Каталожный номер | RHC27101 |
| Название антигена | Prosaposin (PSAP) |
| UNIPROT | P07602 |
| Английские синонимы | SAP1, GLBA, CSAct, Dispersin, Pro-Saposin, Proactivator polypeptide, Glucosylceramidase activator, Sulfatide/GM1 activator, Cerebroside sulfate activator, Sphingolipid Activator 1 |
Реактивность подтвержденная Нужна другая реактивность? |
человек, крыса |
| Источник (хозяин) | мышь |
| Изотип | IgG1 |
| Клональность | моноклональное |
| Клон | R3A32 |
| Рекомбинантное | да |
| Готовое к использованию | нет |
| Концентрация | 1 мг/мл |
| Конъюгат | нет |
| Валидировано для | ELISA IHC WB Иммуноферментный анализ; Иммуногистохимия; Вестерн-блоттинг |
| Рекомендуемые разведения | ELISA: 1:10000, IHC: 1:200-1:1000, WB: 1:500-1:2000 |
| Метод очистки | Очистка с белками A/G из супернатанта клеточной культуры |
| Чистота | >95% |
| Состав буфера | 0.01M PBS, pH 7.4, 0.05% натрия азид |
| Условия доставки | термобокс с аккумуляторами холода |
| Условия хранения | Хранить при 4°C не более 1-2 недель. Хранить при -20°C - 12 месяцев |
| Срок хранения | 12 месяцев |
| Производитель | AntibodySystem |
| Ссылка на страницу товара на сайте производителя | https://www.antibodysystem.com/product/34714.html |
|
Артикул
|
Наименование |
Производитель
|
|---|
|
Артикул
|
Наименование |
Производитель
|
|---|
|
Артикул
|
Наименование |
Производитель
|
|---|
|
Артикул
|
Наименование |
Производитель
|
|---|
Акции и предложения
Популярные продукты:
Free Triiodothyronine/fT3 ELISA Kit (KGN27202)
Организм: для всех
Mouse Component of gems 4(GEMIN4) ELISA kit (E03C2296)
Организм: мышь
Bovine Alpha internexin(INA) ELISA kit (E11A1887)
Организм: корова
Guinea Pig Alpha internexin(INA) ELISA kit (E05A1887)
Организм: морская свинка
Guinea Pig prosaposin (PSAP) ELISA kit (E05P0870)
Организм: морская свинка

